The content on this page is intended to healthcare professionals and equivalents.
Smart mammography workstation for streamlined workflow and precise diagnosis
Support for users in conducting diagnosis with reading protocols tailored to mammographic diagnosis and smooth image displays. Customization for reading protocols includes configuration for making comparisons of current and prior images and for S-views synthesized from tomosynthesized images of AMULET Innovality and AMULET SOPHINITY.
![[image] Mammography (2D/Tomosynthesis/Comparisons with prior images)](https://asset.fujifilm.com/www/ar/files/2025-07/de9033bcde95317d22957c011cfe095f/pic_amulet-bellus-2_01.jpg)
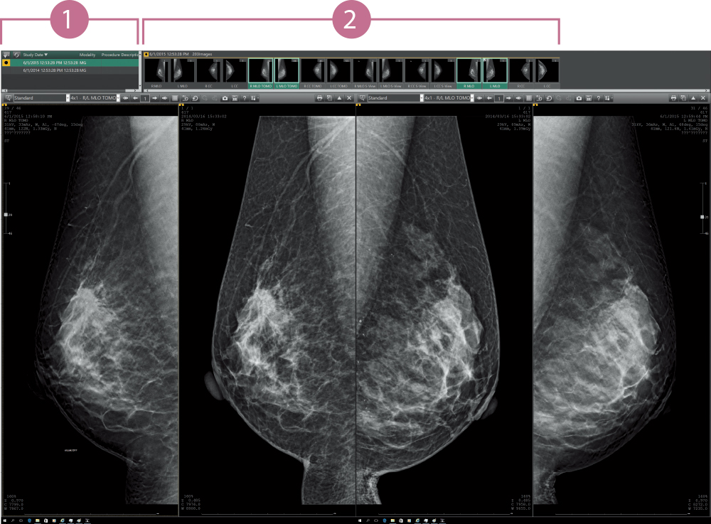
The results from multiple exams for a patient are displayed in a list. Users can switch the displayed image with one of the selected images.
The thumbnail window allows users to instantly see all the images taken for each individual exam in a single one view. Each image can be easily selected and displayed by dragging and dropping.
Various images, such as MG, BT, MR, CT, US, etc., are available for mammography diagnosis at the same time.
Values for ROI and X-ray gauging can be obtained from the information in each imaging modality.
![[image] ROI (Region of interest) X-ray](https://asset.fujifilm.com/www/ar/files/2025-07/046bfe4bfc03d6ebc9e27f55b5106b78/pic_amulet-bellus-2_05.jpg)
ROI (Region of interest)
![[image] Time intensity curve X-rays](https://asset.fujifilm.com/www/ar/files/2025-07/3f4b2c212d2a9ccf77989eac7a2e1f6d/pic_amulet-bellus-2_06.jpg)
Time intensity curve
![[image] Scale](https://asset.fujifilm.com/www/ar/files/2025-07/930ee34d33876de1a6cddf0c65159250/pic_amulet-bellus-2_07.jpg)
Scale
Snapshot function: The display conditions, order, and scale factor of each image can be stored on the computer and re- displayed in the same condition.
Once a prescription format is stored, images of a patient from different exams can be arranged to be printed out with the measurement results in the preferred space and at the desired size and contrast.
The mammography reporting system supports different reading styles including “single reading”, “double reading”, etc. The Drag & Drop operation from the viewer to the reporting app. is available to attach images.
The items displayed on the list can be narrowed down by date, modality, or some other aspect using the filtering function. The type of exams performed such as Tomo/Biopsy and the availability of Report are shown in the list.
| No. | Indications | Contents |
|---|---|---|
| 1 | File | Check whether examined image exists on the server |
| 2 | Protect | Mark image if it is not to be moved or deleted |
| 3 | Report | Check whether a report exists |
| 4 | Study | Date of the exam |
| 5 | ID | Patient ID |
| 6 | Name | Name of the patient (first, middle, and last name) |
| 7 | Sex | Sex of the patient |
| 8 | Modality | Type of modality |
| 9 | Report Status | Status of the report |
| 10 | Acc No | Accession number |
Products Name : AMULET BellusⅡ(Model name : MIS-1000)








