Der Inhalt dieser Seite richtet sich an medizinisches Fachpersonal und gleichwertige Personen.
Die fortschrittliche „DeepInsight“-Technologie wurde in eine kompakte Form gebracht. Hochwertige Bilder können so überall und jederzeit aufgenommen werden. Unser Ziel ist ein „neuer Standard“ der Bildgebungssicherheit bei ultramobilen Ultraschalluntersuchungen. Die ARIETTA 650 DeepInsight liefert diesen „neuen Standard“.
Die Vision von Fujifilm Healthcare für die Zukunft der Ultraschallbildgebung heißt „DeepInsight“.
Fujifilm Healthcare hat eine Reihe von Technologien integriert, die den ständig steigenden Anforderungen an Präzision in der Bildqualität, Effizienz in der Untersuchung und Genauigkeit in der Diagnose entsprechen.
Fujifilm Healthcare ist davon überzeugt, dass Innovation innerhalb von fünf wesentlichen Elementen erforderlich ist, um eine optimale Ultraschallbildgebung zu erreichen.
Diese werden in „DeepInsight“ gebündelt.

DeepInsight, eine neue Technologie zur Rauschunterdrückung, eFocusing LITE und Carving Imaging.
Die Kombination dieser Technologien verbessert das Signal aus dem Gewebe und liefert eine höhere Bildqualität bei weitaus geringerer Abhängigkeit vom Untersucher.

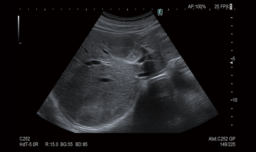
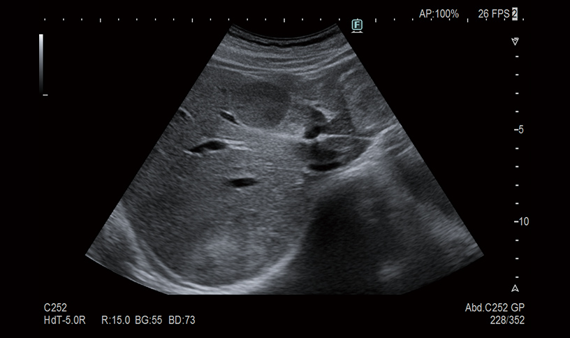
Die DeepInsight-Technologie, die KI-Technologie*1 zur Bildverbesserung einsetzt, extrahiert nur die notwendigen Informationen aus einer riesigen Datenmenge und liefert klarere Darstellungen von feinen und komplexen Gewebestrukturen, die bisher aufgrund von Rauschen unentdeckt bleiben konnten. Dadurch wird eine natürlichere Darstellung der Gewebestruktur erreicht.


- *1 Die Technologie wurde mit Hilfe von maschinellem Lernen, einer KI-Technologie, entwickelt und gestaltet. Die Leistung und Genauigkeit des Systems ändert sich nach der Implementierung nicht automatisch.
Die Vollfokusfunktion sorgt für eine homogene Bildqualität und verbessert die Empfindlichkeit.
Bilder mit „Clearer Demarcation“ (deutlichere Abgrenzung) werden durch unsere fortschrittliche Bildverarbeitungstechnologie erzeugt, die die Gewebestrukturen verbessert. Dies ermöglicht eine stabile Bildgebung bei geringerer Patientenabhängigkeit.

DeepInsight AUS

DeepInsight EIN
Weitere Verfeinerung der Technologien zur Nutzung von hochwertigem „Ultraschall“ zur Verbesserung der Bildklarheit bei einem kompakten System.
Mit ausgefeilter Ergonomie und zahlreichen neuen Werkzeugen, die Ihre Arbeitsabläufe rationalisieren.
Eine Vielzahl einzigartiger Anwendungen, die einen neuen klinischen Nutzen bieten, ist für alle Fachbereiche zugänglich.










