The content on this page is intended to healthcare professionals and equivalents.
The ARIETTA 850 DeepInsight has unique and advanced applications that quickly provides diagnostic information keeping it one step ahead of the market.
RTE assesses tissue strain in real time and displays the measured differences in tissue stiffness as a color map. Its application has been validated in a wide variety of clinical fields: for the breast, thyroid gland, and urinary structures.
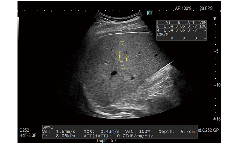
It is possible to evaluate tissue stiffness by generating shear waves and measuring Vs, its propagation velocity in the tissue.
An index to estimate the degree of hepatic adipogenesis (ATT) can also be measured at the same time.
An algorithm that discriminates and suppresses the features of noise generated by transducer scanning and body motion has been incorporated within the color mode. This improves the visibility of blood flow even in areas where body motion and blood flow are mixed. This enables stress-free observation of blood flow even during screenings.


A wide variety of transducers and advanced functions improve accuracy and confidence to deliver therapeutic treatments increasing the curability of lesions.


RVS is a function which fuses real-time ultrasound imaging with an MPR image created from the previously acquired CT, MRI or ultrasound volume data. It is a complementary technology which allows safer and more accurate treatments such as the detection of tiny lesions which may be difficult to find in an ultrasound examination alone, and the improvement of treatment targeting.
Provides simulation of single or multiple needle paths during navigation to a target with RVS. The positional relationship between the marked target and needle paths can be assessed in real time using the 3D body mark, reconstructed from the virtual CT volume data, with additional C-plane display orthogonal to the needle path.
A color map superimposed on the CT image simulates the distribution of the electric field (E-field) from the given location of multiple electrodes during RFA treatment. The simulation can be made with different positions of the multiple electrodes or additional ablation to determine the optimal arrangement. This flexibility in planning the needle path can bring significant improvement to the treatment technique.
*1 Option










