El contenido de esta página está dirigido a profesionales de la salud y equivalentes.

FBP(izquierda)
Intelli IPV(derecha)

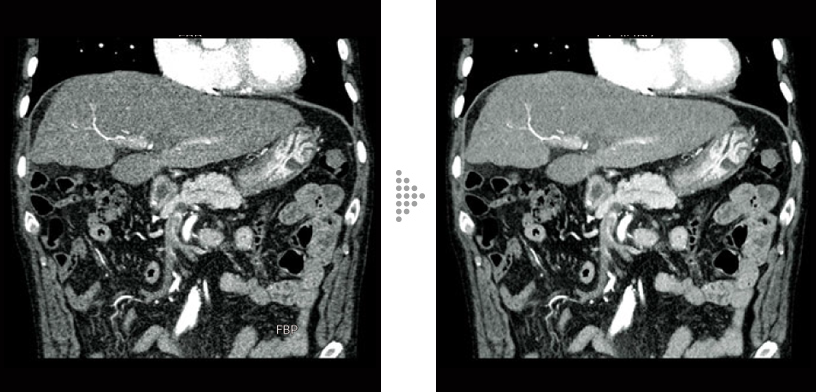
FBP(izquierda)
Intelli IPV(derecha)

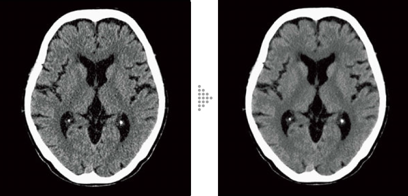
FBP(izquierda)
Intelli IPV(derecha)

FBP(izquierda)
Intelli IPV(derecha)

Tumor cerebral

Estenosis de la arteria carótida común

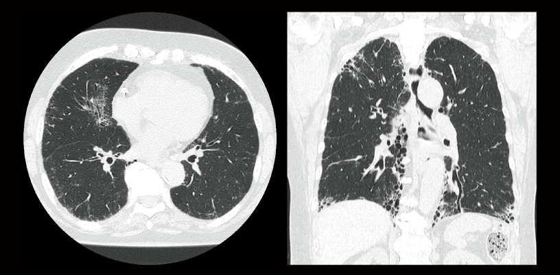
Neumonía intersticial

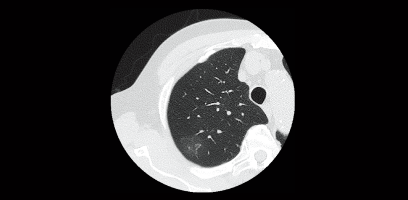
Examen de detección pulmonar (vol. de CTDI: 2,0 mGy)

Calificación de la arteria coronaria

Micobacterias no tuberculosas

Seguimiento después de CABG

Seguimiento después de la colocación del stent LAD

Imágenes de alta velocidad (180 mm/s)

Carcinoma de células renales (80 kV)

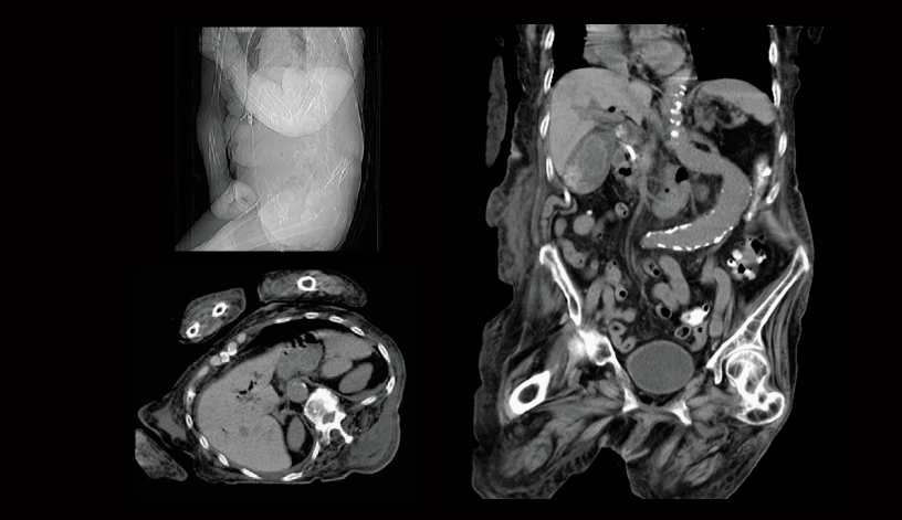
Oclusión aórtica abdominal

Desaturación intraoperatoria de oxígeno (izquierda)
Oclusión de la arteria ilíaca común izquierda (derecha)

Fractura por tuberosidad mayor en el húmero

Fractura de meseta tibial

Articulación de la cadera (HiMAR Plus)
- * Las imágenes distintas a las imágenes axia fueron procesadas por el sistema de análisis de imágenes 3D de SYNAPSE 3D.







