El contenido de esta página está dirigido a profesionales de la salud y equivalentes.
El interés por la prevención y la detección temprana de enfermedades cardíacas está creciendo debido al envejecimiento de toda la sociedad en los últimos años.
ARIETTA 750VE abarca varias funciones avanzadas especialmente útiles para los exámenes cardíacos. Además, el flujo de trabajo fluido y las aplicaciones fáciles de usar facilitan la optimización de exámenes y una alta calidad de imagen.
Admite el paquete de medición automatizada basado en la inteligencia estructural hemodinámica (Hemo Dynamic Structural Intelligence, HDSI), que es una tecnología de análisis única que incorpora IA. EyeballEF mide automáticamente la fracción de eyección (ejection fraction, EF) a través del método M.Simpson.
- Modo de latido: Detección automática ED/ES
- Asistencia de cursor de Doppler: Ajuste automático de la posición de la puerta de muestras
- Medición automática de volumen LV, LA, RA
E/e', uno de los índices clave de rendimiento diastólico LV, se mide automáticamente en el uso del Doppler de doble puerta. Al usar esto en combinación con R-R Navigation, iDGD detecta automáticamente un latido cardíaco óptimo, lo que lo hace efectivo para casos de arritmia.
- Doppler de doble puerta: Permite la observación de formas de onda Doppler desde dos ubicaciones diferentes en el mismo ciclo del corazón.
- R-R Navigation: Permite la detección automática de un intervalo R-R estable.

Tiempo de medición: Aprox. 5 segundos, 83 % de reducción en el tiempo empleado
(aproximación en comparación con los sistemas convencionales)
Realiza varias mediciones a través del método de seguimiento 2D de forma totalmente automática.
Uno de ellos, la tensión longitudinal global (Global Longitudinal Strain, GLS), atrae la atención en los exámenes de insuficiencia cardíaca.

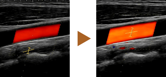
Los ajustes como la posición de la región de interés de color y el cursor se pueden configurar con un solo clic en el examen Doppler de un vaso. También se admiten transductores convexos. Además, el IMT automático puede medir automáticamente el grosor íntima-media (Intima-Media Thickness, IMT).

Reducción del 40 % en el tiempo empleado
(aproximación en comparación con los sistemas convencionales)
iVascular puede ajustar los parámetros como la posición de la región de interés de color y la posición/tamaño/ángulo de la puerta de muestra con un solo clic de un botón en un examen Doppler de un vaso.
Debido a que esta función también está disponible en la pantalla del trapezoide, se puede esperar que acorte el tiempo de examen no solo para una arteria carótida, sino también para un vaso de la extremidad inferior.

Reducción del 35 % en el tiempo empleado para los exámenes de los vasos de las extremidades inferiores (aproximación en comparación con los sistemas convencionales).
SEGUIMIENTO ELECTRÓNICO
Intensidad de la onda (Wave Intensity, WI)
Se respaldan funciones únicas para facilitar una evaluación más detallada de la hemodinámica.








