El contenido de esta página está dirigido a profesionales de la salud y equivalentes.
Estación de trabajo inteligente para mamografía proporciona un flujo de trabajo optimizado y un diagnóstico preciso
Respalda el trabajo de los usuarios que realizan diagnósticos con protocolos de lectura adaptados al diagnóstico mamográfico y visualizaciones de imágenes sin interrupciones. La personalización de protocolos de lectura incluye la configuración para realizar comparaciones de imágenes actuales y anteriores así como para las vistas sintetizadas S-view a partir de imágenes de tomosíntesis de AMULET Innovality y AMULET SOPHINITY.
![[image] Mamografía (2D/Tomosíntesis/Comparaciones con imágenes anteriores)](https://asset.fujifilm.com/www/pe/files/2025-07/a06ca90f6d305d776cfa00195a0c5b14/pic_amulet-bellus-2_01.jpg)
Los resultados de varios exámenes de una paciente se muestran en una lista. Los usuarios pueden cambiar la imagen mostrada por una de las imágenes seleccionadas.
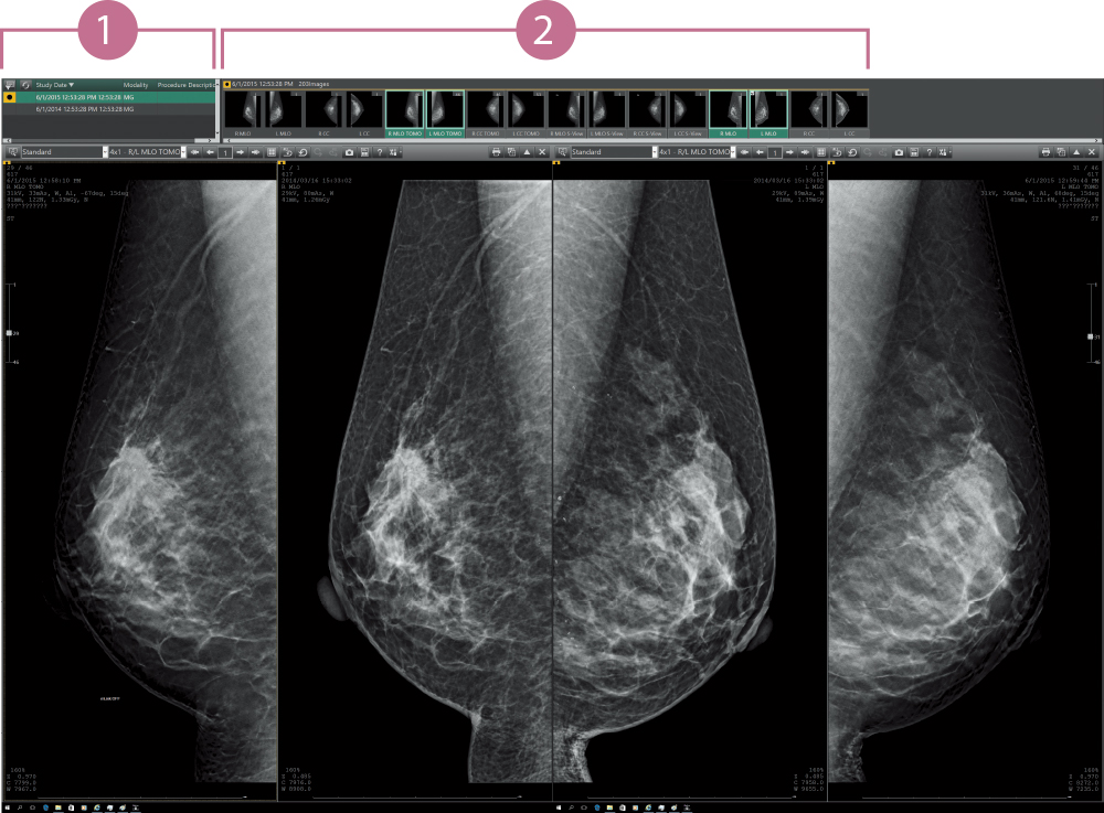
La ventana de miniaturas permite a los usuarios ver instantáneamente todas las imágenes tomadas para cada examen individual en una sola vista. Cada imagen puede seleccionarse y mostrarse fácilmente arrastrando y soltando.
Varias imágenes, como MG, BT, RM, CT, US, etc., están disponibles para el diagnóstico mamográfico al mismo tiempo.
Los valores para la medición de ROI y rayos X pueden obtenerse a partir de la información de cada modalidad de imagen.
![[image] Radiografía de ROI (región de interés)](https://asset.fujifilm.com/www/pe/files/2025-07/1d73e722b9439db3ab2a1ad89dcc3df0/pic_amulet-bellus-2_05.jpg)
ROI (región de interés)
![[image] Radiografías de la curva de intensidad temporal](https://asset.fujifilm.com/www/pe/files/2025-07/43f4a4603c5830ceb86170f7cb298e76/pic_amulet-bellus-2_06.jpg)
Curva de intensidad temporal
![[image] Escala](https://asset.fujifilm.com/www/pe/files/2025-07/13372d9eed96f5e2d38630678fab8a65/pic_amulet-bellus-2_07.jpg)
Escala
Función de captura instantánea: Las condiciones de visualización, el orden y el factor de escala de cada imagen pueden almacenarse en el ordenador y volver a visualizarse con las mismas condiciones.
Una vez almacenado un formato de prescripción, las imágenes de diferentes exámenes de un paciente pueden organizarse para imprimirse con los resultados de la medición en el espacio preferido, con el tamaño y el contraste deseados.
El sistema de informes de mamografía admite diferentes estilos de lectura, como la “lectura simple”, la “lectura doble”, etc. La operación de arrastrar y soltar desde el visor a la aplicación de informes está disponible para agregar imágenes.
Los elementos mostrados en la lista pueden ser acotados por fecha, modalidad o algún otro aspecto utilizando la función de filtrado. En la lista se muestra el tipo de exámenes realizados como Tomo/Biopsia y la disponibilidad de informe.
| N.° | Indicaciones | Contenido |
|---|---|---|
| 1 | Archivo | Comprueba si la imagen examinada existe en el servidor |
| 2 | Proteger | Marca la imagen si no se va a mover o borrar |
| 3 | Informe | Comprueba si existe un informe |
| 4 | Estudio | Fecha del examen |
| 5 | ID | Identificación del paciente |
| 6 | Nombre | Nombre del paciente (primer nombre, segundo nombre y apellido) |
| 7 | Sexo | Sexo del paciente |
| 8 | Modalidad | Tipo de modalidad |
| 9 | Estado del informe | Estado del informe |
| 10 | N.° de acceso | Número de acceso |
Nombre del producto: AMULET BellusⅡ (Nombre del modelo: MIS-1000)







