The content on this page is intended to healthcare professionals and equivalents.
“SynergyDrive” offers various functions and applications to simplify the series of operation procedures from entering and leaving the examination room to shorten examination time. This is also expected to improve management efficiency.
Positioning, imaging and post-processing are all completed in one step. The examination time is shortened by simplifying operations.
The Scanogram function allows information to be displayed rapidly on cross-sectional areas of regions for operators.
A Cutting-edge HighSpeed Imaging Technology
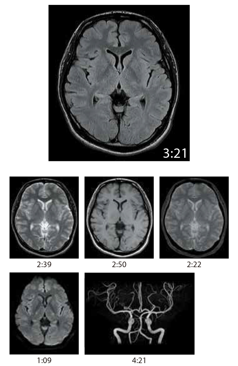
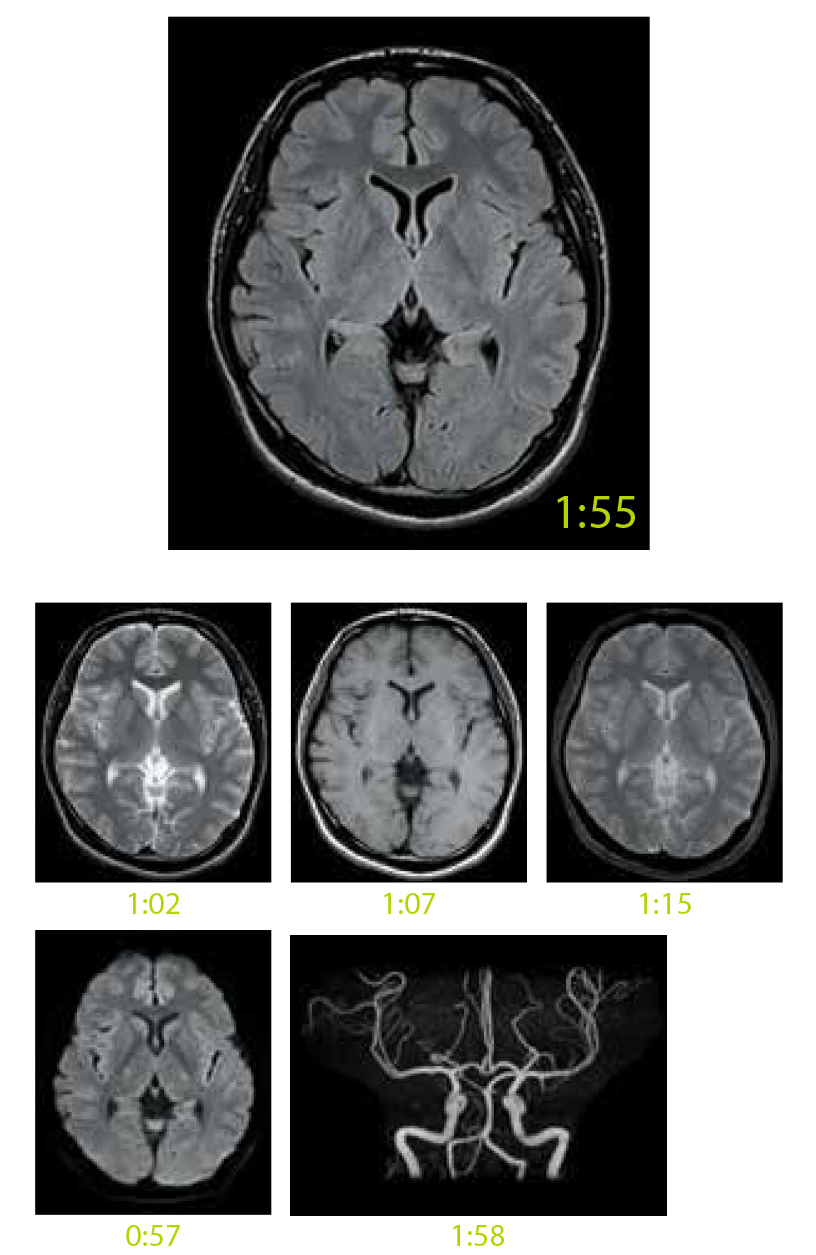
IP-RAPID is high-speed imaging using iterative processing, reducing scan times by up to 60% while maintaining image quality comparable to conventional imaging methods that don't apply IP-RAPID.
Prescan, which is performed as a preparatory procedure is also enhanced by reducing the time before the main scan.
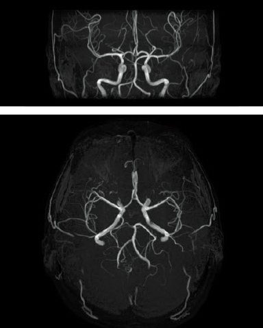
Digital image processing function that automatically creates clipping images of head MRA images.
Automated image transfer by DICOM
- *1 This system automates, not diagnos. Images need to be checked by the operator.
IP-RAPID is a technology that can reduce scan time while maintaining image quality.
By combining undersampling and iterative reconstruction, it can be combined with various regions and functions.
SNR and spatial resolution can also be improved while maintaining the scan time.

Value is compared between the following examples








AutoExam enables setting of imaging conditions, positioning, image processing, image display, image storage, and image transfer functions to be carried out in one step during examination.
The operator can choose to perform semi-automated examinations and may stop, correct and restart imaging.
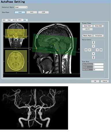
AutoPose is a slice line setting support function.
When the Scanogram imaging ends, the preset section is automatically set and can be registered up to five types of preset sections.
When AutoExam is executed, clipping is performed automatically after MRA imaging.
It is possible to perform additional clipping on images after automatic clipping.

OM-Line

MRA

without clipping

with AutoClip










