The content on this page is intended to healthcare professionals and equivalents.
In the future, a variety of diseases are expected to see an even greater increase. The importance of prevention, diagnosis, and treatment is further increasing to maintain the healthcare system and improve patients’ quality of life.
To support such medical environment and deliver a more accurate, less invasive, and more efficient examination environment in the future, highly functional multipurpose CTs can be used for cardiac examinations and for multipurpose and wide-ranging examinations.
Fujifilm's experience and AI technology combining, it reaches a much higher position of CT system.
That is SCENARIA View.
REiLI, FUJIFILM’s medical AI technology brand, enables support for physicians in the diagnosis and streamlining of the workflow for diagnostic imaging by combining the image processing technology we have cultivated with the most advanced AI technology to realize improved medical care.

The workflow supporting functions, which utilize AI technologies such as deep learning, help solve various issues in medical practice and contribute to increased efficiency and improved quality of medical care.

Examination order

Room entry
Technology developed utilizing deep learning*2 recognizes the position and characteristics of the patient on the patient table.
A single button push moves the patient table to the position for scanogram.

Scanogram imaging
The scan range can be automatically set by the scanogram image. It is expected to improve reproducibility of scan position and efficiency of examinations, contributing to time reduction.
The scan range can be customized according to the operation of the facility since the margin of the scan range can be set in advance. The operator can also check and adjust the automatically calculated scan range.*4

OM Line

SM Line Head

RB Line

Chest
Red: Position set automatically
Blue: Position set automatically + set margin
Parallel storage of CT images (right)
Images generated through reconstruction are stored in the console and also in SYNAPSE 3D through parallel processing. This eliminates the step of sending DICOM images from the console, enhancing examination operability.

Home button:
Remote return of the patient table

Analysis with SYNAPSE 3D
From ordering an examination to reading CT images, Fujifilm proposes to connect all steps of medical care involved in CT imaging to improve efficiency for medical professionals.
- *1 AutoPositioning is an option.
- *2 This function was developed by utilizing Deep Learning, one of the AI technologies. The performance and accuracy of the device do not automatically change after use.
- *3 Since this function assists in moving the patient table for positioning, the operator needs to perform the final positioning and manually using a light projector (Light localizer).
- *4 The scan range automatically calculated requires check and adjustment by the operator.
The 3D camera detects the feature points of patient and predicts the position to acquire the scanogram and display on the Gantry monitor. The camera also supports the Lateral slide table function, which can be set with a single push of a button. AutoPositioning*5 images can be displayed on the console as well.
- *5 AutoPositioning is an option.
This function was developed by utilizing Deep Learning, one of the AI technologies. The performance and accuracy of the device will not automatically change after use.
Since this function assists in moving the patient table for positioning, the operator needs to perform the final positioning and manually by using a light projector (Light localizer).

Easier Positioning of the Region to Be Examined
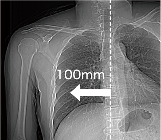
The patient table can move horizontally up to 200 mm, making it easier to position the scanned region in the center, even in cardiac or orthopedic areas, such as the shoulder. This is expected to improve examination efficiency.

Positioning the heart near the center of the field of view

Positioning the extremities near the center of the field of view

In addition to the spacious 800 mm aperture diameter, the aperture’s smooth shape improves accessibility to the patient.

Intelli IPV is an image reconstruction technique developed with AI technology. Highly accurate processing has been speeded up by using images obtained through sufficient iterative processing as training data. Based on the Fujifilm’s Visual Model, reconstruction processing using raw data brings the NPS (Noise Power Spectrum) closer to the FBP (Filtered Back Projection) and keeps the image texture, even at high noise reduction rate. It also reduces image noise by up to 90%*7 and radiation exposure by up to 83%*8. The ability of detecting low-contrast is two times better at the maximality.*8

Achieved both radiation exposure reduction and visibility

Improved low-contrast resolution
A technology to control image noise and image quality through iterative processing based on Statistical, Object, and Physical Models.

Reduces noise through statistical consideration of noise originating from X-ray detection and noise in circuit systems.
Models change in morphological information, and maintains structure considering shape, size, and position of the structure.
Modeled after FBP, adjusting texture in equal ratio from high to low frequencies while reducing noise to achieve a texture similar to that of FBP.
The noise frequency characteristics that aff ect visibility are now as close as possible to those of FBP while adjusting the texture in equal proportions from high to low frequencies.

- *6 Intelli IPV was developed using Machine Learning, an AI technology. The performance and accuracy of the system do not automatically change after use.
- *7 Compared to FBP. It was measured using Intelli IPV intensity level Strong5 and tested to a water phantom. Depending on the clinical task, patient size, anatomic location, and clinical examination, the effect obtained may be smaller.
- *8 Compared to FBP. It was measured at 0.625 mm slice thickness using Intelli IPV intensity level Strong5 and tested to MITA CT IQ phantom CCT189, Phantom Laboratory using the model observer method results. Depending on the clinical task, patient size, anatomic location, and clinical examination, the effect obtained may be smaller.
IPV stands for Iterative Progressive reconstruction with Visual modeling.










