O conteúdo desta página se destina a profissionais da área da saúde e relacionados.
ECHELON Smart ZeroHelium, que não utiliza hélio líquido, reduzindo o risco de explosões de Quench*1 para Zero sem o efeito do fornecimento de hélio. A maior sustentabilidade com o ECHELON Smart ZeroHelium reduz significativamente o tempo de recuperação e os custos devido a acidentes e falhas de energia por desastres naturais e traz uma operação estável da RM.
- Dependência de hélio líquido para Zero
- Melhor qualidade de imagem para imagens mais profundas e amplas
- Controle a qualidade da imagem de RM posteriormente
- Carga operacional reduzida utilizando a Tecnologia de IA*2


- *1 Representa a libertação explosiva de hélio quando o estado supercondutor é perdido
- *2 A IA é utilizada para o desenvolvimento. O desempenho e a precisão do equipamento não serão alterados automaticamente após a instalação
As RMs supercondutoras dependem do hélio líquido.
Uma RM supercondutora cria um campo magnético pela passagem de uma corrente elétrica através de uma bobina. O hélio líquido tem sido historicamente um refrigerante para arrefecer a bobina.
O hélio é um recurso essencial para muitas indústrias, incluindo os cuidados médicos.

[Aplicações de hélio Quantidade de consumo(%)] †1
O hélio só é encontrado em quantidades muito pequenas na Terra, e a quantidade que pode ser extraída está limitada a alguns países produtores. O hélio é indispensável para tratamentos médicos avançados e indústrias. À medida que a procura continua a crescer ano após ano, o equilíbrio entre a oferta e a procura está começando a se romper. Os países, que dependem de importações para garantir o hélio, têm experienciado "crises de hélio", em que as condições internacionais dificultam a obtenção de hélio.
- †1 SDKI Analytics based on Global Helium Market 2018-2037
- †2 De acordo com o U.S. Geological Survey
- †3 U.S. Geological Survey (USGS) 2022, Helium Statistics, Kelly, T.D., e Matos, G.R., editores,
Historical Statistics of Minerals and Materials in the United States of America:
U.S. Geological Survey Data Series 140, [data as of March 11, 2024].
SCM convencional de 1,5T da FUJIFILM*3
É utilizada uma grande quantidade de hélio líquido.
ECHELON Smart ZeroHelium
Zero hélio líquido
- *3 ECHELON RX
O “ZeroHelium” permite que o pessoal interno *4 reduza e aumente a potência do ímã em caso de emergência*5.
Isso ajuda a minimizar o tempo e o custo de recuperação necessários.
O "ZeroHelium" não utiliza hélio líquido.
Assim, não há risco de o gás hélio escapar para o exterior.
Consequentemente, a instalação do tubo de Quench não é necessária.
- *4 Em alguns casos, pode ser necessário pessoal de serviço.
- *5 Nos casos onde a redução de emergência não é necessária.
- *6 Representa a liberação explosiva do hélio quando o estado do supercondutor é perdido.
ZeroHelium é uma tecnologia de ressonância magnética supercondutora de 1,5T que não utiliza hélio líquido. O método de arrefecimento convencional consiste em imergir a bobina em hélio líquido, mas o ZeroHelium utiliza um mecanismo de arrefecimento dedicado para manter a supercondutividade a -269 °C.
A ressonância magnética que não utiliza hélio líquido como refrigerante tornou-se possível graças à longa história da FUJIFILM em ressonância magnética e às suas tecnologias acumuladas.
Ocorrem alterações de temperatura no interior do ímã durante os exames de ressonância magnética e, como o ZeroHelium não está imerso em refrigerante, foi necessário considerar os efeitos do calor. A FUJIFILM projetou a ressonância magnética ZeroHelium para eliminar vários efeitos térmicos causados por correntes de Foucault e outros fatores, utilizando tecnologia de simulação desenvolvida ao longo de muitos anos.
A estrutura de arrefecimento do ZeroHelium foi concebida para controlar e evitar os efeitos da vibração causada por alterações no equilíbrio estrutural dentro dos ímãs. Foi concebido para controlar a sequência e a qualidade da imagem através da simulação da vibração.
IP-RAPID, que permite um tempo de exame reduzido, mantendo a qualidade da imagem, e DLR Plus, que melhora a qualidade da imagem utilizando a tecnologia Deep Learning*8.
Ao combinar estas duas tecnologias, as imagens de fácil diagnóstico podem ser obtidas com uma velocidade de exame rápida.
- *8 A Deep Learning é utilizada para o desenvolvimento. O desempenho e a precisão do equipamento não serão alterados automaticamente após a instalação
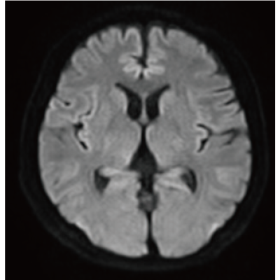
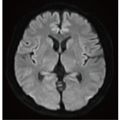
O IP-RAPID x DLR Plus também pode encurtar o tempo de aquisição de imagens, permitindo que mais imagens sejam obtidas no mesmo tempo de exame. Imagens adicionais, como diferentes tipos de imagem e seções transversais, podem ser adicionadas ao exame convencional para aumentar a quantidade de informações e tornar o diagnóstico mais fiável.
O IP-RAPID x DLR Plus oferece a flexibilidade de encurtar as séries com sincronização respiratória ou até mesmo substituí-las por prender a respiração, dependendo da situação do paciente. Isto oferece a você mais opções e uma gama mais vasta de exames à escolha.

3DMRCP (Apneia)

Gating do navegador 3DMRCP (Navi)

3DMRCP (Sincronização respiratória)
O IP-RAPID x DLR Plus pode ser usado para exames de imagem básicos, como VolumeScan, RadialScan, HalfScan e muitos outros métodos de imagem, como MultiContrastScan FatSep e DWI.
Também pode ser utilizado com exames demorados, como DWI de corpo inteiro e exames de imagem de toda a coluna, fornecendo informações mais detalhadas em muito mais áreas do que era anteriormente possível.
Fornece funções para remover e suprimir artefatos nos dados de imagem e para gerar imagens reconstruídas a partir de dados de imagem limitados, reduzindo assim a taxa de reconstrução e permitindo a realização de exames de RM sem problemas.
A SNR e a nitidez podem ser melhoradas com a pós-reconstrução
Melhorar a SNR e reduzir o artefato de wrap-around através da pós-reconstrução.
Mesmo que o exame seja interrompido, os dados mínimos necessários podem ser reconstruídos mais tarde
A tecnologia Deep Learning*8 permite o ajuste da qualidade da imagem após a conclusão da aquisição. Otimiza a SNR e melhora a nitidez da imagem processando os sinais de RM em fases (processamento de sinal no espaço k).
Isto permite uma super-resolução e reduz os artefatos de truncamento.


Quando o tamanho na direção da codificação de fase for definido incorretamente, o sinal fora do FOV se dobrará e aparecerá como artefatos na imagem. O Exp. RAPID reconstrói a imagem de acordo com a taxa de ampliação do FOV especificada. Os artefatos podem ser removidos no pós-processamento.

Quando o exame tiver de ser interrompido devido a uma chamada de emergência do paciente, as imagens poderão ser reconstruídas utilizando a quantidade mínima de dados de imagem que foi obtida. Isto reduz o cansaço do paciente e a carga de trabalho do operador e contribui para a facilitação das operações.
- Garantir tempo para ver o paciente, permitindo um cuidado mais atento.
- Apoiar a tarefa de visualizar imagens, permitindo tempo para verificações e tomada de decisões.
- Proporcionar um ambiente para diagnosticar sem estresse, minimizando as variações na precisão.
- Obter eficiência operacional e qualidade consistente da perspetiva dos custos.
Proporcionar um ambiente de operação consistente e de fácil utilização, contribuindo para uma melhor qualidade de diagnóstico e uma carga de trabalho reduzida.


GUI Cardíaca AutoPose

AutoPose Pélvis Feminina

AutoPose Joelho
Foi desenvolvida uma tecnologia para converter dados extensos de TC acumulados através do SYNAPSE 3D em imagens de RM usando a tecnologia de IA. Esta tecnologia, combinada com uma biblioteca de rede neural convolucional (CNN) estabelecida durante o desenvolvimento da segmentação de órgãos, foi usada no desenvolvimento do posicionamento de RM. Como resultado, foram comercializadas capacidades de posicionamento de alta precisão para diversas regiões anatômicas.
A função de suporte à configuração da linha de corte, "AutoPose", define automaticamente as linhas de corte assim que o escanograma é digitalizado.
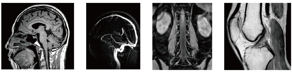
Após a conclusão da imagem de ressonância magnética, ele realiza automaticamente o recorte para MRA cerebral. O recorte automático identifica o intervalo de extração com base nas características da cabeça. Recortes adicionais também podem ser feitos nas imagens após o processo do recorte automático.
- * 9 A IA é usada para o desenvolvimento. O desempenho e a precisão do equipamento não serão alterados automaticamente após a instalação
- *10 Este sistema realiza exames e processamento automaticamente, mas não faz diagnósticos automaticamente. É obrigatória a verificação pelo operador
O ECHELON Smart ZeroHelium fornece controle avançado do campo magnético com seu ímã ZeroHelium e tecnologia ZeroHelium. Portanto, após a desmagnetização e excitação, o exame de RM pode ser realizado sem confirmação pelo pessoal de serviço*11.


Antes da desaceleração

Após a aceleração
A instalação do tubo de Quench não é necessária. Além disso, uma extração de exaustão de emergência ou um analisador de oxigênio não é necessário.

Monitora a temperatura do ímã e varia o resfriamento e o consumo de energia com base na necessidade. O consumo de energia é reduzido quando a necessidade de resfriamento é baixa, e aumenta quando a temperatura sobe.

Um serviço de diagnóstico preditivo de falhas para sistemas de RM supercondutores desenvolvido utilizando a análise de big data acumulado com foco no status operacional do sistema e no Serviço de Diagnóstico Preditivo de Falhas da FUJIFILM. O uso do monitoramento 24 horas do status do sistema e do diagnóstico preditivo pelo serviço nos permitiu otimizar os ciclos de inspeção e a substituição de peças e melhorar o tempo de atividade do sistema.

- *11 Excluindo Quench e desmagnetização de emergência
- *12 ECHELON RX
- *13 De acordo com os regulamentos da nossa empresa. Varia dependendo das condições de uso.



![[foto] Edifício da Fujifilm Corporation](https://asset.fujifilm.com/www/br/files/styles/320x160/public/2023-03/f4aa571340cd6b3973b5e11a840f9335/bnr_about.png?itok=HGNl2E8c)

![[foto] Mão aberta tocando uma planta germinada](https://asset.fujifilm.com/www/br/files/styles/320x160/public/2023-03/742522a65545e841f873f906a3cbf934/bnr_csr.png?itok=PAv77UDA)
![[foto] Homem de jaleco olhando através de um microscópio](https://asset.fujifilm.com/www/br/files/styles/320x160/public/2023-03/7c771d63033bbb37c4ef796c8eb6984b/bnr_rd.png?itok=RptWC1q4)
