The content on this page is intended to healthcare professionals and equivalents.

FBP(Left)
Intelli IPV(Right)

FBP(Left)
Intelli IPV(Right)

FBP(Left)
Intelli IPV(Right)

FBP(Left)
Intelli IPV(Right)

Brain tumor

Common carotid artery stenosis

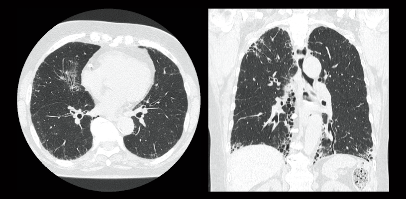
Interstitial pneumonia

Lung screening (CTDlvol: 2.0 mGy)

Coronary artery calcifification

Bronchial artery close examination

Follow-up after CABG

Aortic valve (Cardio StillShot)

High-speed imaging (180 mm/sec)

Renal cell carcinoma (80 kV)

Abdominal aortic occlusion

Intraoperative oxygen desaturation (Left)
Left common iliac artery occlusion (Right)

Humeral greater tuberosity fracture

Tibial plateau fracture

Femur fracture (Dual-Energy)
- * Images other than the axial image were processed by the 3D image analysis system SYNAPSE 3D.









