The content on this page is intended to healthcare professionals and equivalents.
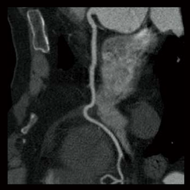
In cardiac CT examinations, the various factors such as heart rate and heart movement affect image quality. With conventional image reconstruction methods, unfocused coronary arteries and artifacts caused by motion could occur, resulting in images not meeting the expected quality, which could affect the diagnosis. To help resolve these problems, Fujifilm developed Cardio StillShot, which calculates the direction and amount of movement of the subject in four dimensions based on the raw data collected during cardiac CT examinations, and corrects it during image reconstruction to achieve an effective time resolution of 28 msec.*1 The effective time resolution contributes to improved diagnostic capability by providing high-definition focused clinical images with less motion artifacts even in patients with a high heart rate.

- *1 With 0.35 sec/rot and beam pitch of 0.1719

Cardio StillShot: OFF

Cardio StillShot: ON

Cardio StillShot: OFF

ON

Cardio StillShot: OFF

ON

Cardio StillShot: OFF

ON

Cardio StillShot: OFF

ON









