The content on this page is intended to healthcare professionals and equivalents.
A comprehensive range of features that streamline operation for greater diagnostic performance
Receiver coils support ease of patient setting and offer superb image quality
The number of receiver coils that must be set prior to the examination is minimized to reduce replacement time and effort. With a system designed for ease of use and with the adoption of special receiver coils for individual regions, significant reduction in examination time is attained whilst maintaining high image quality.

for head & neck

for spine

for abdomen

for joints
[Spine examination]
- Head and neck coil (posterior side) + WIT spine coil

[Head and neck examination]
[Spine examination]
- Head and neck coil

[Abdomen examination]
-Head and neck coil [posterior side] + WIT spine coil + Flex body upper coil

[Extremity examination]
-Head and neck coil [posterior side] + WIT spine coil + GP flex coil

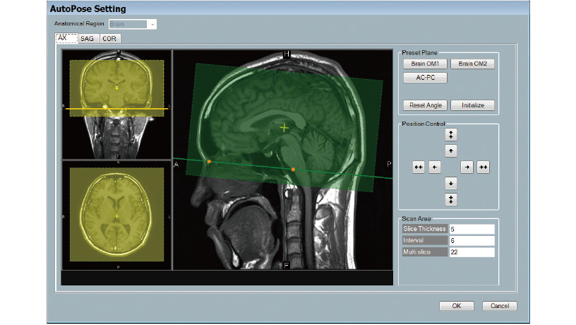
Operation time reduced with assistance for selecting the imaging cross-section
Slice line setting can be time-consuming even for experienced operators. AutoPose helps you to determine the slice line more quickly and accurately. Following the acquisition of a scanogram, the AutoPose process takes one or two seconds to move the slice line automatically to the preset cross-section. During the acquisition of a sensitivity map, fine manual adjustment of the slice line can be performed, ready for imaging to start.
[Slice line preset window]
This function is available immediately after installation using registered preset cross-section settings that suit the needs of your medical institution.
[AutoPose slice line]
The one or two second AutoPose processing sets the slice line according to the cross-section setting registered for your medical institution.
Streamlines setting and changing of protocols
An easy-to-use interface is available.
Supports change of imaging conditions
This function provides guidance for parameter settings. During protocol change, several candidates are displayed to allow the operator to select the parameter most appropriate for that particular scenario.









