The content on this page is intended to healthcare professionals and equivalents.

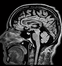
3D T2 FLAIR isoFSE
1.2mm isotropic

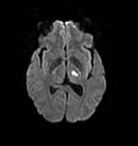
DWI B1000 for acute stroke

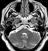
2D T2 opFSE (optimized FSE)
3mm slice thickeness

opFIR with uniform fat suppression over large FOV

T2 opFSE for enhanced edge detail and sharpness

ADAGE combines gradient echoes for enhanced gray/white matter contrast

VASC-FSE 3 station non-contrst MRA

Flouro Triggered MRA (FLUTE)

3D Time-of-Flight (TOF)

VASC-ASL volume rendered non-contrast MRA

Blood Sensitive Imaging (BSI) T2* contrast for micro bleed detection

Micro coil provides exceptional small FOV, thin slice imaging

ADAGE high SNR/CNR with excellent cartilage depiction

T2 isoFSE 1.2mm isotropic

3D RF Spoiled SARGE (RSSG) with Water Excitation

T1 opFSE with VIVID for fine edge detail

opFSE with HOAST for uniform off-center fat saturation

TIGRE - T1 gradient echo dynamic arterial phase

DWI B50 with high lesion conspicuity

Gradient Echo In-Phase

Grradient Echo Out-of-Phase

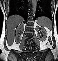
3D primeFSE with respiratory gating

2-Point FatSep RF Spoiled SARGE (RSSG)

TIGRE Dynamic

TIGRE Dynamic

T2 opFSE with FatSat

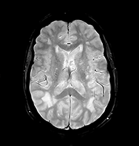
T2 opFSE - optimized FSE provides high SNR imaging

DWI B1000

RADAR T2 opFSE for motion compensation

Balanced SARGE (BASG)
2 chamber view

Double Inversion Recovery for black blood

BASG with Retrospective Gating
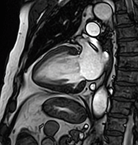
3 chamber view

T2 opFSE
1 Year Old

Fluoro Triggered MRA (FLUTE)
5 Years Old

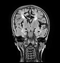
Optimized FLAIR (opFIR)
3 Years Old








