The content on this page is intended to healthcare professionals and equivalents.
CT scans, which can examine the whole body in a short amount of time, are used in a wide range of situations, including diagnosis, treatment, and emergency situations, and are an indispensable part of today's medical field.
In order to provide patients in urgent situations with more accurate and faster imaging diagnosis.
Fujifilm's experience and AI technology make CT scans easier to use.
REiLI, FUJIFILM’s medical AI technology brand, enables support for physicians in the diagnosis and streamlining of the workflow for diagnostic imaging by combining the image processing technology we have cultivated with the most advanced AI technology to realize improved medical care.

Motion Correction Technology Supports More Accurate Clinical Diagnosis
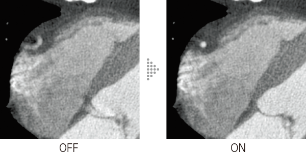
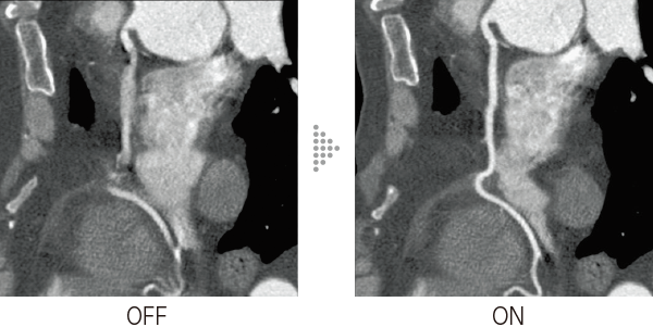
In cardiac CT examinations, the various factors such as heart rate and heart movement affect image quality. With conventional image reconstruction methods, unfocused coronary arteries and artifacts caused by motion could occur, resulting in images not meeting the expected quality, which could affect the diagnosis. To help resolve these problems, Fujifilm developed Cardio StillShot, which calculates the direction and amount of movement of the subject in four dimensions based on RawData collected during cardiac CT examinations, and corrects it during image reconstruction to achieve an effective temporal resolution of up to 28 msec.*1
The effective time resolution contributes to improved diagnostic capability by providing high-definition focused clinical images with less motion artifacts even in patients with a high heart rate.


- *1 With 0.35 sec/rot and beam pitch of 0.1719
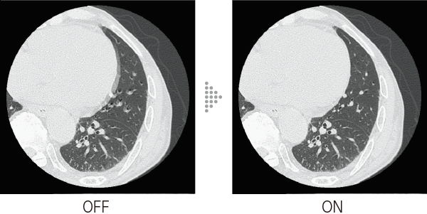
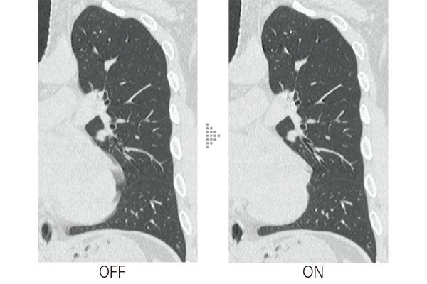
The motion correction technology that was previously applicable to cardiac CT examinations(ECG Scan) has been applied to body examinations without synchronization to meet further clinical demands.Body StillShot provides images with minimal motion blur by maintaining the continuity of the body axis direction over a wide range when calculating the direction and amount of movement of the subject in four dimensions from the collected RawData. The use of an algorithm that does not require ECG data makes it easier to apply to routine examinations. It can also be used in combination with Intelli IPV*2, an image reconstruction technology developed utilizing AI technology, contributing to even higher image quality.
- *2 IPV stands for Iterative Progressive reconstruction with Visual modeling. Intelli IPV was developed utilizing Machine Learning, an AI technology. The performance and accuracy of the system do not automatically change after use.


Intelli IPV is an image reconstruction technique developed with AI technology*3. Reconstruction processing has been speeded up by using images obtained through sufficient iterative processing as training data. Based on the Fujifilm's Visual Model, reconstruction processing using RawData brings the NPS(Noise Power Spectrum)closer to FBP(Filtered Back Projection)and keeps the image texture, even at a high noise reduction rate. It reduces image noise by up to 90%*4 and radiation exposure by up to 83%.*5 It also improves low contrast detectability by up to 2 times.*5


A technology to control image noise and image quality through iterative processing based on Statistical, Object, and Physics Models.

Modeled after FBP, adjusting texture in equal ratio from high to low frequencies while reducing noise to achieve a texture similar to that of FBP.
Models change in morphological information, and maintains structure considering shape, size, and position of the structure.
Reduces noise through statistical consideration of noise originating from X-ray detection and noise in circuit systems.
The noise frequency characteristics that affect visibility are now as close as possible to those of FBP while adjusting the texture in equal proportions from high to low frequencies.

- *3 Intelli IPV was developed utilizing Machine Learning, an AI technology. The performance and accuracy of the system do not automatically change after use.
- *4 Compared to FBP. It was measured using Intelli IPV intensity level Strong5 and tested to a water phantom. Depending on the clinical task, patient size, anatomic location, and clinical examination, the effect obtained may be smaller.
- *5 Compared to FBP. It was measured at 0.625 mm slice thickness using Intelli IPV intensity level Strong5 and tested to MITA CT IQ phantom CCT189, Phantom Laboratory using the model observer method results. Depending on the clinical task, patient size, anatomic location, and clinical examination, the effect obtained may be smaller.
- *6 Our conventional iterative reconstruction is in our conventional CT system SCENARIA. IPV stands for Iterative Progressive reconstruction with Visual modeling.
Speedy and Efficient Examinations for Everyone Involved in Clinical Practice
The workflow supporting functions, which was developed by utilizing AI technologies such as deep learning*7, help solve various issues in medical practice and contribute to increased efficiency and improved quality of medical care.
- *7 The performance and accuracy of the system do not automatically change after use.
- *8 AutoPositioning is an option. Since this function assists in moving the patient table for positioning, the operator needs to perform the final positioning and manually using a light localizer.
- *9 The scan range automatically calculated requires check and adjustment by the operator.
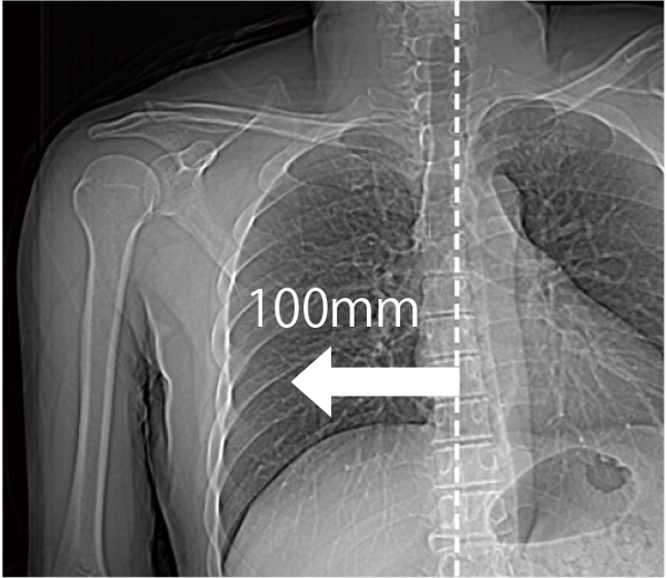
The patient table can move horizontally up to 200 mm, making it easier to position the scanned region in the center, even in cardiac or orthopedic areas, such as the shoulder. This is expected to improve examination efficiency.

Positioning the heart near the center of the field of view

Positioning the extremities near the center of the field of view
800mm wide gantry aperture with a smooth shape improve patient access.
Using technology developed utilizing deep learning*8, Using technology developed utilizing Deep Learning, the system recognizes the anatomical landmarks of the human body from 3D camera images, allowing you to set the bed in three dimensions (vertical, front-back, and left-right) with the touch of a one-button.It can be applied to 14 different types, with various patient orientations.In addition, the AutoPositioning video can be displayed on the Touch Vision on the front of the scanner or on the monitor of the Operating Console.


The captured scanogram image can be used to automatically set the scan range. This can be expected to be shorten the setting time. By using Fujifilm's automatic organ segmentation technology*9, which was developed utilizing deep learning, it contributes to the scan of a total of 14 types, including the head and chest. In addition, since the margin of the scan area can be set in advance, the scan area can be customized according to the operation of each facility. The operator can also check and adjust the automatically calculated scan area.


The image processing technology that Fujifilm has cultivated to date is also installed in the Operating Console of our CT system, enhancing the analysis functions. By simultaneously storing the reconstructed images in the Operating Console of our CT system and transferring them in parallel to SYNAPSE 3D, the waiting time from the end of the scan to the start of analysis can be shortened. In addition, it is possible to instruct our CT system to reconstruct images using RemoteRecon*10, which works in conjunction with SYNAPSE 3D. Even when our CT System is occupied with a scan, you can expect to see an improvement in the throughput of the analysis process.

- *10 RemoteRecon is an option for SCENARIA View Focus Edition. Please check with our local sales representative about the version of SYNAPSE 3D, which works in conjunction with RemoteRecon.
SYNAPSE 3D’s advanced image analysis technology aids clinical interpretation, reporting, and treatment planning. Especially, automatic organ segmentation technology enables fast and effective workflow, powered by REiLI, FUJIFILM's AI brand. With a series of high-tech applications developed in collaboration with clinical specialists, SYNAPSE 3D quickly and accurately delivers imaging result that promotes effective care collaboration.

REiLI makes it happen to extract organs and simplify your work.

Lung lobe

Liver

Kidney

Colon

Lung Analysis

Virtual Endoscope

Orthopedics








