The content on this page is intended to healthcare professionals and equivalents.
RTE assesses tissue strain in real time and displays the tissue stiffness as a color map. Its application has been validated in a wide variety of clinical fields including the breast, and it is possible to calculate an estimated elasticity value for liver fibrosis staging.
It is possible to evaluate tissue stiffness by generating shear waves and measuring Vs (propagation velocity in tissue). iATT measures an index (ATT) to estimate hepatic steatosis. The narrowing of the analysis area and the guided display make it easy to set the ROI therefore avoiding multiple reflections and structures such as blood vessels that would interfere with ATT measurement.
Detective Flow Imaging (DFI), which is a micro vascular flow imaging technology, has supported noise processing technology “Wall Motion Reduction PLUS” so that body motion noises are suppressed selectively, and images of high sensitivity and visibility can be realized. “Wall Motion Reduction PLUS” judges the scattering of detected signal intensity to perform noise reduction according to the body motion amount of each region.

DFI

Judge the scattering of signal intensity to reduce noise
-Realize higher sensitivity by filter processing improvement and signal velocity scattering judgement-
Flow sensitivity is improved by shifting the wall filter to the low velocity side. With the filter processing changed, body motion noises are reduced effectively by detecting the signal velocity scattering in multiple-times receiving and judging them.


MPR images constructed from CT/MRI/PET-CT/US volume data can be synchronized to real-time ultrasound imaging. It is applied in a wide variety of clinical fields: such as for Abdomen, Breast, navigation in prostate puncture, and so on.

Provides simulation of single or multiple needle paths during navigation to a target with Real-time Virtual Sonography (RVS). The positional relationship between the marked target and needle paths can be assessed in real time using the 3D body mark and C-plane display. E-field Simulator superimposes the electric field (E-field) from the given location of electrodes on the CT image during RFA treatment. The simulation of E-field allows to consider an effective needle path.


[ Linear CW / Convex CW ][ eTracking ]*1[ Wave Intensity(WI) ]*1
4Dshading is a mode used to express a realistic natural shading like a light is being cast. 4Dtranslucence extracts the tissue boundaries and superimposes them to enable the display of intracavity structures of the brain, digestive tract, and so on.

Enables the observation of Doppler waveforms from two different locations during the same heartbeat. The rhythm of atrial and ventricular systole can be evaluated more efficiently than single Doppler methods.

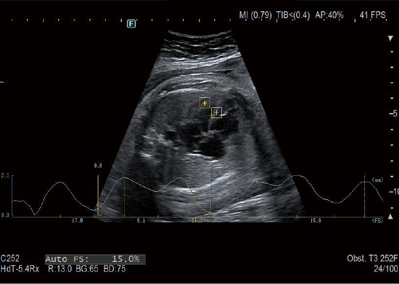
AutoFHR+ calculates the fetal heart rate automatically by tracking the movement of the fetal heart from a B mode image in real time. This function is available on both transabdominal and transvaginal transducers, so the fetal growth can be assessed from early gestation onwards. AutoFS tracks fetal heart movement from a B mode image and automatically calculates %Fractional Shortening (%FS). Unlike the M-mode method, AutoFS is not affected by a change in the fetal position, so heart movement can be measured.

- *1 Option








