The content on this page is intended to healthcare professionals and equivalents.
Step-by-step, workflow-oriented software guides and intuitive operation to streamline the examination process.
The Fusion biopsy procedure is divided into seven steps, and the user can proceed with the biopsy intuitively by following the icons on the screen in the order they appear.
Once the operator has completed each step, the system automatically moves on to the next step.
- Registration of patient information and examination IDs
- Import of MRI and CT volume data
- Export and import of data sets and reports in DICOM format

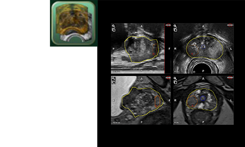
Simple contouring by various tracing methods

A real-time Speed indicator helps acquiring the appropriate 3D Ultrasound Volume data.

- Available Rigid and Elastic fusion
- Fine adjustment of the contour for each Axial, Sagittal, and Coronal plane.
- Fusion DWI/ADC*2 and T2W*3 images with Ultrasound 3D volume.

- Needle planning by easy mouse operation
- An automatic needle placement for efficient systematic biopsy planning

- Needle location guiding by Navigation Window
- Display of needle guidelines and template coordinates
- Adding new biopsy locations in real time
- Possible to correct and record the position and angle of the actual needle.

- Patient information, biopsy records for each needle, and volume
- Suspicious lesions, needle and core positions in 3D reconstruction of the prostate,
- Gleason score for each needle core

- *1 Steps included on the External Contouring Software (optional)
- *2 Diffusion weighted imaging/Apparent diffusion coefficient
- *3 T2-weighted








