The content on this page is intended to healthcare professionals and equivalents.
Migration of our top-performing imaging technologies for enhanced diagnostic confidence and precision
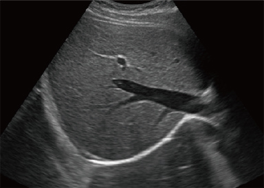
Inherited “Pure Symphonic Architecture”, the technology fostered in the ARIETTA brand to produce high quality “sound” without compromise. The combination of transducer/frontend, beamformer, backend, and monitor. ARIETTA 65 combines technologies to provide high contrast and high penetration images.
Images with "Clearer Visibility" are produced by our image processing technology that enhances tissue structure visibility. Realizes stable imaging with less patient dependency.

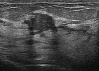
OFF

ON

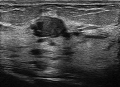
OFF

ON
Analyzes the received signal of each channel in real-time, and suppresses signals that disturb the imaging.
Enhances visualization of tissue boundaries by transmitting beams in multiple directions, thus reducing artifacts experienced when using a single beam path.
A Comprehensive range of transducers supports diverse clinical applications.









