The content on this page is intended to healthcare professionals and equivalents.
In the modern age where the number of elderly and lifestyle-related disease patients are increasing at an accelerating pace, ultrasonic examination requires efficiency.
ARIETTA 750SE automates important operations in cardiovascular examination to enable rapid and accurate diagnostics from blood vessels to the heart.
Supports automated measurement package based on Hemo Dynamic Structural Intelligence (HDSI), which is a unique analysis technology incorporating A.I. EyeballEF measures ejection fraction (EF) automatically via the M.Simpson method.
- Beat Mode: ED/ES auto detection
- Doppler Cursor Assist: Auto setting of sample gate position
- LV, LA, RA Volume auto measurement
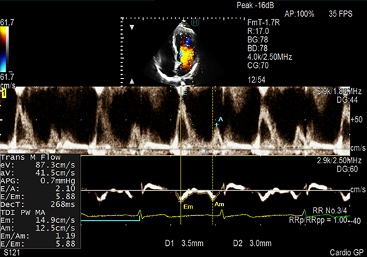
E/e', one of the key LV diastolic performance indices, is measured automatically in Dual Gate Doppler use. By using this in combination with R-R Navigation, iDGD detects an appropriate heartbeat automatically.
- Dual Gate Doppler: Enables observation of Doppler waveforms from two different locations in the same heart cycle.
- R-R Navigation: Enables the detection of a stable R-R interval automatically.

Conducts various measurements via the 2D tracking method fully automatically. One of them, Global Longitudinal Strain (GLS), is attracting attention in heart failure examinations.

Settings like the position of Color ROI and cursor can be set by a single click operation in Doppler examination of a vessel. Convex transducers are supported as well. Additionally, it is possible to measure the Intima-Media Thickness (IMT) automatically by AutoIMT.

eTRACKING*1
Wave Intensity (WI)*1
The functions to support more detailed evaluation of hemodynamics are supported.

- *1 Option








