The content on this page is intended to healthcare professionals and equivalents.
The interest to cardiac disease prevention and early detection is growing because of the aging of the whole society in recent years.
ARIETTA 750VE covers various advanced functions especially useful for cardiac examinations. Additionally, smooth workflow and easy-to-use applications support streamlining examinations and high image quality.
Supports automated measurement package based on Hemo Dynamic Structural Intelligence (HDSI), which is an analysis technology incorporating A.I. EyeballEF measures ejection fraction (EF) automatically via the M.Simpson method.
- Beat Mode: ED/ES auto detection
- Doppler Cursor Assist: Auto setting of sample gate position
- LV, LA, RA Volume auto measurement
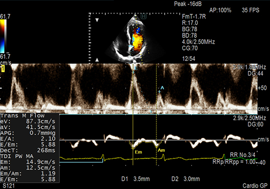
E/e', one of the key LV diastolic performance indices, is measured automatically in Dual Gate Doppler use. By using this in combination with R-R Navigation, iDGD detects an appropriate heartbeat for measurement.
- Dual Gate Doppler: Enables observation of Doppler waveforms from two different locations in the same heart cycle.
- R-R Navigation: Enables the detection of a stable R-R interval automatically.

Conducts various measurements via the 2D tracking method fully automatically.
One of them, Global Longitudinal Strain (GLS), is attracting attention in heart failure examinations.

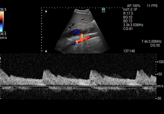
Settings like the position of Color ROI and cursor can be set by a single click operation in Doppler examination of a vessel. Convex transducers are supported as well. Additionally, it is possible to measure the intima media thickness (IMT) automatically by AutoIMT.

eTRACKING*1
Wave Intensity (WI)*1
Unique functions to support more detailed evaluation of hemodynamics are supported.

- *1 Option








