El contenido de esta página está dirigido a profesionales de la salud y equivalentes.

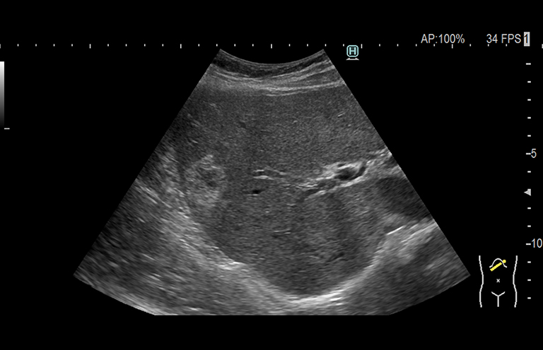
Aplicación: Abdomen
Función/análisis: Modo B
Comentarios: Hígado

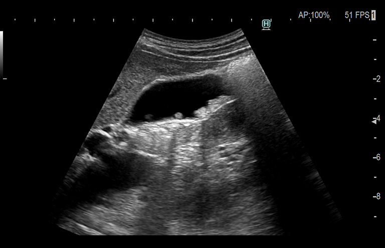
Aplicación: Abdomen
Función/análisis: Modo B
Comentarios: Vesícula biliar

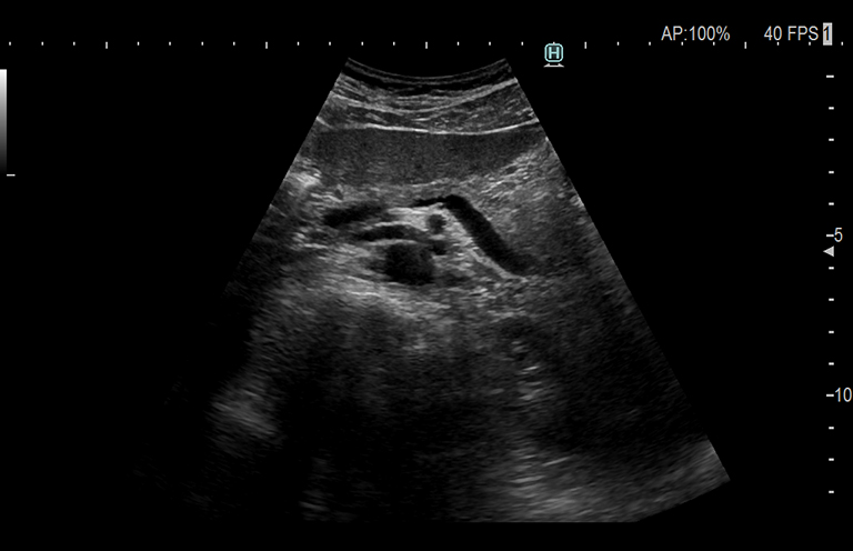
Aplicación: Abdomen
Función/análisis: Modo B
Comentarios: Páncreas

Aplicación: Abdomen
Función/Análisis: eFLOW (CF doble)
Comentarios: Riñón
Aplicación: Abdomen
Función/análisis: DFI
Comentarios: Riñón

Aplicación: Abdomen
Función/análisis: CHI
Comentarios: Hígado
Aplicación: Abdomen
Función/análisis: eFLOW
Comentarios: Abdomen

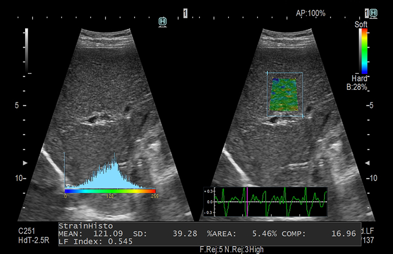
Aplicación: Abdomen
Función/análisis: ÍNDICE LF
Comentarios: Hígado

Aplicación: Abdomen
Función/análisis: SWM/ATT
Comentarios: Hígado

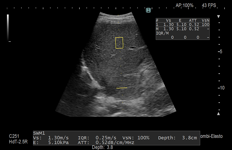
Aplicación: Abdomen
Función/análisis: Combi-Elasto
Comentarios: Hígado

Aplicación: Abdomen
Función/análisis: 3D Sim-Navigator
Comentarios: Hígado

Aplicación: Abdomen
Función/análisis: Simulador de campo eléctrico
Comentarios: Hígado
Aplicación: Obstetricia
Función/análisis: Modo B
Comentarios: Feto (13 semanas)
Aplicación: Obstetricia
Función/análisis: Modo B
Comentarios: Placenta
Aplicación: Obstetricia
Función/análisis: Color/brillante
Comentarios: Feto (26 semanas)

Aplicación: Obstetricia
Función/análisis: CW convexo
Comentarios: Feto (32 semanas)
Aplicación: Obstetricia
Función/análisis: Doppler de doble puerta
Comentarios: Feto (34 semanas)
Aplicación: Obstetricia
Función/análisis: AutoFS
Comentarios: Feto (21 semanas)

Aplicación: Obstetricia
Función/análisis: MPR curvo
Comentarios: Feto (19 semanas)

Aplicación: Obstetricia
Función/análisis: 3D/4D
Comentarios: Feto (32 semanas)

Aplicación: Mama
Función/análisis: Modo B
Comentarios: Mama

Aplicación: Mama
Función/análisis: Modo B
Comentarios: Mama

Aplicación: Mama
Función/análisis: Modo B(doble)
Comentarios: Mama
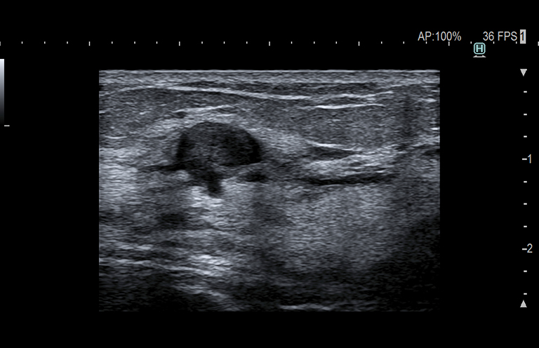
Aplicación: Mama
Función/análisis: Modo B
Comentario: punción
Aplicación: Mama
Función/análisis: eFLOW
Comentarios: Mama
Aplicación: Mama
Función/análisis: DFI
Comentarios: Mama
Aplicación: Mama
Función/análisis: HI Strain
Comentarios: Mama

Aplicación: Mama
Función/análisis: RTE (ASR/AFS)
Comentarios: Mama
Aplicación: Cardiología
Función/análisis: Modo B
Comentarios: Corazón
Aplicación: Cardiología
Función/análisis: Modo B
Comentarios: Corazón
Aplicación: Cardiología
Función/análisis: Color
Comentarios: Corazón

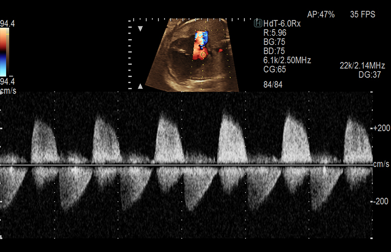
Aplicación: Cardiología
Función/análisis: Doppler de doble puerta
Comentarios: Corazón
Aplicación: Cardiología
Función/análisis: 3DTEE
Comentarios: Corazón
Aplicación: Cardiología
Función/análisis: 4DLV-ANÁLISIS
Comentarios: Corazón
Aplicación: Cardiología
Función/análisis: VFM/Tensión de elasticidad de pared
Comentarios: Corazón

Aplicación: Cardiología
Función/análisis: VFM (presión relativa)
Comentarios: Corazón
Aplicación: Vascular
Función/análisis: eFLOW
Comentarios: Arteria carótida

Aplicación: Vascular
Función/análisis: IMT automático
Comentarios: Arteria carótida
Aplicación: Vascular
Función/Análisis: eFLOW (CF doble)
Comentarios: Extremidad superior

Aplicación: Vascular
Función/Análisis: eFLOW (CF doble)
Comentarios: Extremidad inferior

Aplicación: Otros
Función/análisis: Modo B
Comentarios: Tiroides

Aplicación: Otros
Función/análisis: Modo B
Comentarios: Tiroides

Aplicación: Otros
Función/análisis: Modo B
Comentarios: Tiroides

Aplicación: Otros
Función/análisis: eFLOW
Comentarios: Dedo







