El contenido de esta página está dirigido a profesionales de la salud y equivalentes.
Las tecnologías para perfeccionar el “sonido” de alta calidad han evolucionado aún más y le han dado vida a la arquitectura sinfónica pura.
La combinación de transductores/extremo frontal, formador de haz variable, Active Backend Plus y monitor OLED: todas las tecnologías trabajan juntas para lograr un rendimiento de primera clase.
La evolución de los transductores de ultrasonido micromecánicos capacitivos (Capacitive Micro-machined Ultrasound Transducers, CMUT), mediante el uso de tecnología de oblea de silicio de próxima generación, ha puesto en práctica el complemento completo de modos de examen por ultrasonido. Con ancho de banda de frecuencia súper amplia y alta sensibilidad, la resolución mejorada se mantiene en el campo lejano. Los CMUT pueden administrar una solución de sonda única para una amplia gama de exámenes ecográficos.
El rendimiento básico y la operabilidad están optimizados para lograr una alta calidad de imagen equivalente a un transductor convexo normal. La función de escaneo amplio puede asegurar un ángulo de escaneo amplio, a la vez que mantiene una alta calidad de imagen en los exámenes. El C23RV es compatible con un sensor de ecografía virtual en tiempo real (RVS) integrado.
La tecnología de transmisión y recepción de eFocusing recientemente desarrollada para ARIETTA 850 mejora significativamente la S/N y reduce la dependencia focal. Se logra una claridad excepcional de las imágenes desde el campo cercano al lejano con menos dependencia del paciente.

Enfoque en todas las profundidades
Tecnología de imagen avanzada que produce imágenes con “visibilidad más clara”*. Las imágenes estables con menos dependencia del paciente ayudan a lograr imágenes más claras con menos ruido. Esto es posible gracias a nuestra nueva tecnología de procesamiento de imágenes que mejora la visibilidad de la estructura del tejido.
Como concepto de esta función, nos gustaría poner énfasis en la “visibilidad más clara”.
- * “Visibilidad más clara” debido a la reducción del ruido, la integridad mejorada y la continuidad de los límites de los tejidos.

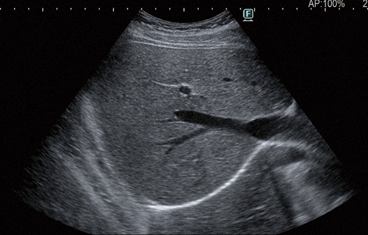
APAGADO

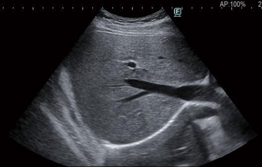
ENCENDIDO
El ARIETTA 850 ha adoptado la última tecnología: un monitor OLED 22 pulgadas de ancho para una visualización de imágenes óptima. Sin necesidad de retroalimentación para que funcione, el monitor OLED muestra un color negro real para que se pueda lograr una resolución de contraste antes inalcanzable. OLED es el monitor ideal para el diagnóstico por ultrasonidos, ya que produce la más alta calidad de visualización en escala de grises.







