The content on this page is intended to healthcare professionals and equivalents.
do we make the impossible possible
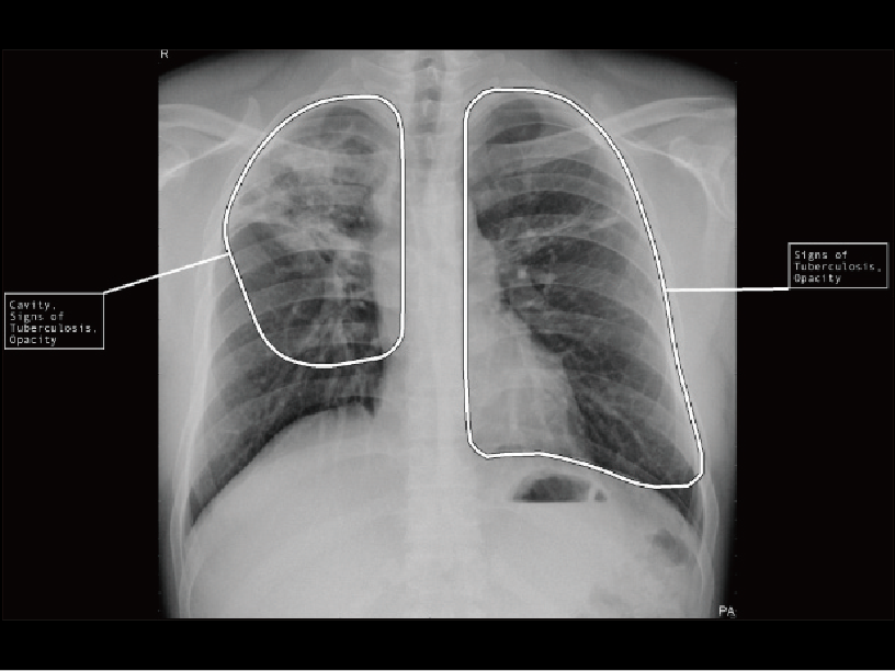
We are continuously working hard to deliver the latest technologies such as Artificial Intelligence-Computed Aided Diagnosis (AI-CAD) software that supports diagnostic imaging with deep learning.
Expansion Unit EX-Mobile is an accessory, which is developed open platform that provides an Integrated operating environment to install such as AI-CAD software.
Its compact and lightweight design enables it to be carried outside of hospital to expand access to advanced healthcare.
FDR Xair's portability and operability allows the user to take X-ray images in places with limited space. It can be used with FDR D-EVO III to utilize image processing software even in unconventional medical scenes.
Compatible and Optimal X-ray Solution
By the wide variation of generators FDR Smart X supports, the systems can be configured to meet installation requirements at customer sites even where there is limitation on electricity supply or anxiety of an unstable electricity supply.
A flagship X-ray system providing advanced applications for diagnosis.
Compatible with multiple systems
Compatible with a diverse array of X-ray units, Fujifilm DR detector FDR D-EVO III/ FDR D-EVO II allows Digital Radiography imaging using your existing Analogue X-ray system. It can also be carried with EX-Mobile and facilitates a variety of medical needs.


X-ray room
(Analog imaging table)

Hospital room
Operating room

Point of care

- Category
Class-1 Accessory for the DR or X-ray system
- Size W × L × H (unit/ adapter)
169mm × 64mm × 43mm / 50mm × 99mm × 33mm
- Weight (unit/ adapter)
500g / 200g
- Power source
USB type-C (PD): 9V / 3A
- Network connection
Wired and Wireless
- Start up time
Less than 3 mins
- Partnership software
Installable software varies to the systems.
Please contact to your official dealer.
Partnership software devices are following.- Lunit INSIGHT CXR (manufactured by Lunit Inc)
- qXR (manufactured by Qure.ai technologies Pvt Ltd)
- BoveView (manufactured by Gleamer SAS)
- Annalise CXR (manufactured by annalise.ai)
- External appearance and specifications are subject to change without notice.
- All brand names or trademarks are the property of their respective owners.
- All products require the regulatory approval of the importing country.
- For details on their availability, contact our local representative.
- Only the software which validated by Fujifilm can be installed into EX-Mobile.
- The instruction manual of these products are provided in electronic form by PDF format.
Please access to the following address and find this product page to read the instruction manual regarding usage.
https://med-lib.fujifilm.com/




Product Name:Expansion Unit EX-Mobile (Model number: EX-M1)













![[photo] Portable X-ray Unit FDR Xair](https://asset.fujifilm.com/www/nl/files/styles/600x400/public/2021-05/86ed195b1f4588fba3f2c9027c9ae7e4/thumb_fdr-xair.jpg?itok=T8aEsXM6)

