本頁面所載內容,意在提供醫療保健專業人員及同等人員使用。
名為「FDR nano」的數位移動式 X 光設備,配備新的影像處理套件,能夠連接人工智慧電腦輔助診斷(AI-CAD)等軟體 *1。此移動式 X 光機可透過一般 X 光程序進行篩檢和診斷,可輕鬆移至 COVID-19 患者的隔離病房,這將協助醫療團隊以更高的效率診斷 COVID-19 相關徵象。
- *1 只有經富士軟片驗證的軟體才能安裝到影像處理套件中。
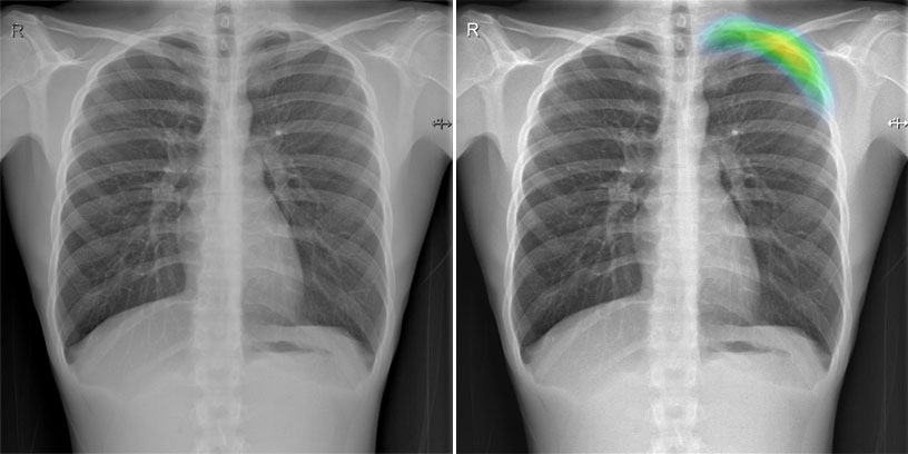
Lunit Inc、Lunit INSIGHT CXR 採用 Lunit 尖端深度學習技術開發,並可偵測 10 項放射線學病徵;
肺塌陷症、鈣化、心臟腫大、實質化、纖維化、縱膈腔擴張、結節、肋膜積液、腹內積氣、氣胸


- * 控制台顯示器並非用於診斷目的,而是讓使用者能夠確認影像的處理分析。
仰躺的前後胸部 X 光是創傷和加護病房患者胸部的主要放射造影技術。
早期發現和治療潛伏性氣胸非常重要,因為它可能發展到危及生命病況的張力性氣胸。張力性氣胸可導致患有隱匿氣胸的患者需接受侵入性治療。
在許多情況下,嚴重休克、需要約束和/或加護病房插管的患者可能無法或難以進行 CT 檢查。


- * Lunit INSIGHT CXR 由 Lunit Inc. 製造。









![[照片] FDR Nano 移動式 X 光攝影系統](https://asset.fujifilm.com/www/tw/files/styles/600x400/public/2025-01/a1a06cf6ec97d568bcb7b0512c11669f/thumb_fdr-nano_01.jpg?itok=xZterlBn)