The content on this page is intended to healthcare professionals and equivalents.
Technology Supporting Routine Cardiac CT Examinations
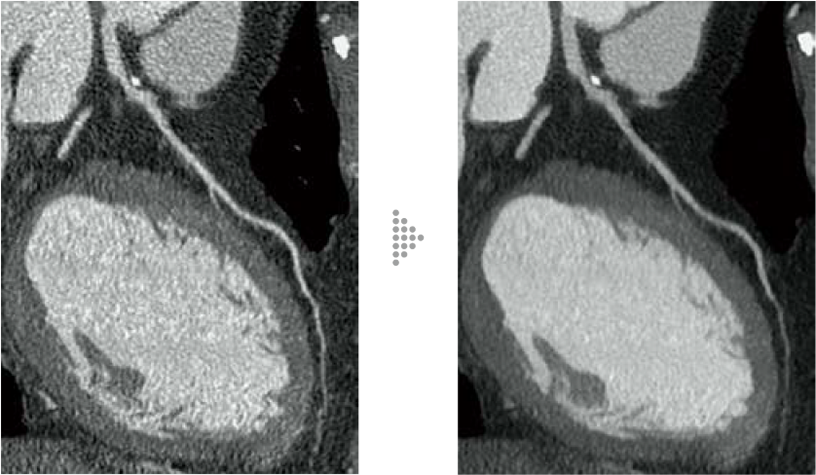
While cardiac CT examinations are now more accessible, expectations remain high for reducing radiation exposure and the amount of contrast media used in the examinations.
Applying Intelli IPV*1*2, which utilizes Fujifilm's AI technology, to cardiac CT realizes high image quality with lower noise and maintained texture even in low tube voltage imaging and at low radiation doses. Cardiac CT imaging has become even more accessible.

FBP(Left)
Intelli IPV(Right)
A spacious 800 mm aperture is achieved with the SCENARIA View Focus Edition.
In addition, the patient table has a 200 mm lateral range of motion, allowing the scanned region to be positioned at the center of the scan FOV, which improves the spatial resolution.
IntelliCenter brings the patient closer to the center of the FOV.
The SCENARIA View Focus Edition redefines the fundamentals of CT imaging.

A Bowtie Filter, which reduces the radiation dose during cardiac CT imaging is also installed in addition to the commonly installed Bowtie Filter for whole body.
This reduces the X-ray radiation dose outside the region of interest in cardiac CT imaging. Compared to the Bowtie Filter for the whole body, it is expected to reduce radiation exposure by 22.9%*3 as the CTDIvol value.

This is a function*4 that captures the heart rate range during breath-holding practice and automatically calculates the imaging conditions and image reconstruction conditions based on ECG waveform data.
The operator can easily check whether the automatically calculated imaging conditions are appropriate or not with the displayed temporal resolution graph. The condition setting modes include auto, semi-auto, and manual, which can be selected according to the purpose.

This function allows for an adjustment of X-ray radiation dose based on ECG information. It reduces radiation exposure in cardiac CT examinations by imaging the cardiac phases other than the resting phase of the heart with a low X-ray dose.
Since the modulation of the tube current can be set up to two phases, it can also be set to match the resting phases of mid-diastole and end-systole.


Reconstructed cardiac phase 75%
120kV、0.35sec/rot、Beam Pitch 0.1719、Intelli IP Lv3
This function automatically selects the cardiac phase with the least heart motion after cardiac CT imaging. The amount of motion in each cardiac phase was calculated*5 based on the collected data and ECG information, and the cardiac phase with the least motion was selected as the appropriate reconstruction condition. CardioHarmony reduces the time required for finding the appropriate cardiac phase and image reconstruction necessary after cardiac CT imaging.


- *1 This function was developed by utilizing machine learning, one of the AI technologies. The performance and accuracy of the device do not automatically change after use.
- *2 IPV stands for Iterative Progressive reconstruction with Visual modeling.
- *3 With 120 kV, 400 mA, 0.5 sec/rot, 0.625 mm x 32
- *4 Checking, setting, and adjustment by the operator are required depending on the conditions used.
- *5 Calculated conditions require checking and adjustment by the operator.
The Next Stage Leading to the Future for All
Breath-holding time during imaging and an increase in the amount of contrast agent can be a burden on the patient. The SCENARIA View Focus Edition is equipped with a highcapacity 7.5 MHU X-ray tube assembly. It contributes to reducing the burden on patients by enabling examinations with the high output power required for high-speed imaging and low tube voltage imaging. Compared to conventional detectors,*6 the reliability of the full-digital detector has been improved through the elimination of analog wiring between boards. It reduces electrical noise by up to 40% and power consumption by up to 45%.

This technology reduces metal artifacts by applying iterative processing. Metallic parts are extracted to estimate the artifacts for correction. The effect level can be selected to meet your purpose.


FBP(Left)
HiMAR Plus(Right)
High-speed data sampling at 2,880 views/second provides high resolution images with minimal artifacts at the edges. The rotation speed of 0.35 sec/rot used in cardiac CT can be applied to the whole body to shorten imaging time.

Volume scans can be performed with the gantry tilted for imaging of the head. By linking with AutoPose, the gantry can be remotely tilted to an automatically calculated angle*7 to perform volume scan imaging at that angle. This eliminates operational procedures and shortens the examination time.

Operations can be performed in a natural posture.
It supports 11 languages, which are also linked to auto voice, and displays examination guidance and navigation of the breath-hold timing. It also supports sign language, leading to a pleasant examination that meets various requirement.
The indicator that informs the patient of the timing for holding the breath during the examination is mounted at three easy-to-see locations in the gantry. Aiming to reassure patients ranging from children to the elderly, the indicator informs the patient both by text display and auto voice.
The On-time Standby function reduces power consumption by up to 47.1% compared to the unused state by controlling units built into the gantry. In addition, the Off-time mode function, which disconnects power while maintaining detector characteristics, reduces standby power consumption by up to 69.5% compared to the unused state.
Space-saving installation is realized without restricting the stroke of the patient table. Aiming to reduce expansion work at the time of replacement, a smooth imaging environment for operators is offered by securing a spacious workspace.
Our sales, application, maintenance/service personnel, and Sentinel Customer Support, our remote maintenance program, will continue to monitor your CT systems even after installation. We will provide long-term support to maintain and improve the environment of CT systems by evolving functions on a daily basis, such as monitoring 24 hours a day, 365 days a year through IoT, while detecting signs of failure to prevent them from occurring in advance.

- *6 Compared to the whole-body X-ray CT system SCENARIA
- *7 The automatically calculated scan range requires checks and adjustments by the operator.










