The content on this page is intended to healthcare professionals and equivalents.
APERTO Lucent offers sophisticated MR imaging through a permanent magnet with 0.4T static field strength together with a compact gantry.
Our technological expertise enabled the design and creation of a single-pillar MRI structure which offers premium open space.
As the only single-pillar MRI system within Our range, the APERTO Lucent offers an expansive, panoramic open aspect designed to reduce patient anxiety and provide a comfortable examination environment.

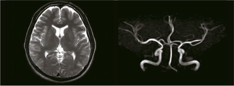
Our magnetic circuit technology and diagnostic functions enable crisp, high-definition imaging of clinically challenging regions and applications.
Enhanced operability supports efficient and reliable diagnosis, together with ease of operation and image sharing capabilities.
Improve your examination workflow with "fast scanning" and "automation" solutions.
- *1 Maximum 30% reduction depending on scan parameters.
IP-RAPID is a fast scanning technology that reduces scan time while maintaining image quality undersampling and iterative reconstruction. It can be used in conjunction with various functions and over a wide range of anatomical regions.







IP-RAPID offers higher resolution images without increasing scan time.

IP-RAPID can be combined with various pulse sequences such as FatSep that can offer multiple contrast images with one acquisition.


Automatically perform complex operations
AutoExam enables setting of scan parameters, slice positioning, image processing,image display,image storage and image transfer functions to be carried out in only one step during the examination. The operator can choose to perform semi-automated examinations and may stop, correct and restart imaging at any time.
AutoPose is a slice-line setting support function that reduces operator input.
AutoClip performs image clipping automatically after MRA imaging to reduce operator input.
- *2 This system automates, not diagnos.Images need to be checked by the operator.
RADAR is a motion artifact reduction technique that fills k-space radially. RADAR GrE is now available on APERTO Lucent.

T2WI

T1WI

T2*WI









