The content on this page is intended to healthcare professionals and equivalents.
ECHELON Smart ZeroHelium, which uses no liquid helium at all, reducing the risk of quench explosions*1 to Zero without the effect of the helium supply. Great sustainability with ECHELON Smart ZeroHelium significantly reduces recovery time and costs due to accidents and power failures from natural disasters and brings stable operation of MRI.
- Dependence on liquid helium to Zero
- Better image quality to deeper, broader Imaging
- Control MRI image quality afterward
- Reduced operational burden utilizing AI Technology*2


- *1 Represents the explosive release of helium when the superconducting state is lost
- *2 AI is used for development. The performance and accuracy of the equipment will not automatically change after installation
Superconducting MRIs rely on the liquid helium.
A superconducting MRI creates a magnetic field by running an electric current through a coil. Liquid helium has been a coolant for cooling the coil historically.
Helium is a critical resource for many industries, including medical care.

[Helium applications Amount of consumption(%)] †1
Helium is only found in very small quantities on Earth, and the amount that can be extracted is limited to a few producing countries. Helium is indispensable for advanced medical treatments and industries. As demand continues to grow year by year, the balance between supply and demand is starting to break down. Countries, which rely on imports for securing helium, have experienced "helium crises", where international conditions make obtaining helium difficult.
- †1 SDKI Analytics based on Global Helium Market 2018-2037
- †2 According to U.S. Geological Survey
- †3 U.S. Geological Survey (USGS) 2022, Helium Statistics, Kelly, T.D., and Matos, G.R., editors,
Historical Statistics of Minerals and Materials in the United States of America:
U.S. Geological Survey Data Series 140, [data as of March 11, 2024].
FUJIFILM conventional 1.5T SCM*3
Much of liquid helium is used.
ECHELON Smart ZeroHelium
Zero liquid helium
- *3 ECHELON RX
“ZeroHelium” allows in-house staff *4 to ramp down and up the magnet in an emergency case*5.
That helps minimize the recovery time and cost called for recovery.
"ZeroHelium" does not use liquid helium at all.
Hence, there is no risk that helium gas could escape into the outside.
Consequently, the Installation of quench piping is not required.
- *4 In some cases, service personnel may be required.
- *5 In cases where emergency ramp down is not required.
- *6 Represents the explosive release of helium when the superconducting state is lost.
ZeroHelium is a 1.5T superconducting MRI technology that uses no liquid helium at all. The conventional cooling method is to immerse the coil in liquid helium, but ZeroHelium uses a dedicated cooling mechanism to maintain superconductivity at -269°C.
MRI not using liquid helium as a refrigerant has been made possible by FUJIFILM's long history of MRI and its accumulated technologies.
Temperature changes occur inside the magnet during MRI examinations, and since the ZeroHelium is not immersed in refrigerant, it was necessary to consider the effects of heat . FUJIFILM designed the ZeroHelium MRI to eliminate various thermal effects caused by eddy currents and other factors using simulation technology developed over many years.
ZeroHelium's cooling structure is designed to control and avoid the effects of vibration caused by changes in the structural balance within the magnets. It is designed to control the sequence and image quality by simulating vibration.
IP-RAPID, which enables shortened scan time while maintaining image quality, and DLR Plus, which improves the image quality by using Deep Learning technology*8.
By combining these two technologies, easy-to-diagnose images can be scanned with fast scan speed.
- *8 Deep Learning is used for development. The performance and accuracy of the equipment will not automatically change after installation
IP-RAPID x DLR Plus can also shorten imaging time, allowing more images to be taken in the same examination time. Additional imaging, such as different image types and cross sections, can be added to the conventional examination to increase the amount of information and make the diagnosis more reliable.
IP-RAPID x DLR Plus gives you the flexibility to shorten respiratory gated series or even replace them with breath-holds, depending on the patient’s situation. This gives you more options and a wider range of examinations to choose from.

3DMRCP (Breath hold)

3DMRCP Navigator gating (Navi)

3DMRCP (Respiratory synchronization)
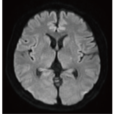
IP-RAPID x DLR Plus can be used for basic imaging such as VolumeScan, RadialScan, HalfScan, and many other imaging methods such as MultiContrastScan FatSep and DWI.
It can also be used with time-consuming scans such as Whole Body DWI and Whole Spine imaging, providing more detailed information in many areas than previously possible.
Provides functions to remove and suppress artifacts in the imaging data and to generate reconstructed images from limited imaging data, thereby reducing the reconstruction rate and supporting the realization of smooth MRI examinations.
SNR and sharpness can be improved by post-reconstructing
Improving SNR and reducing wrap-around artifact through post reconstruction.
Even if the examination is interrupted, the minimum necessary data can be reconstructed later
Deep Learning technology*8 enables image quality adjustment after imaging is complete. It optimize SNR and improve image sharpness by processing MRI signals in stages (k-space signal processing).
This brings super-resolution and reduces truncation artifacts.


When the size in the phase encoding direction is incorrectly set , the signal outside the FOV will fold back and appear as artifacts in the image. Exp. RAPID reconstructs the image according to the specified FOV magnification ratio. Artifacts can be removed in post-processing.

When the scan has to be interrupted due to an emergency call by the patient, images can be reconstructed using the minimum amount of imaging data that has been obtained. This reduces the patient’s burden and operator's workload and contributes to the facilitation of operations.
- Securing time to see the patient, enabling more attentive care.
- Supporting the task of viewing images, allowing time for checks and decision-making.
- Providing an environment to diagnose stress-free, minimizing variations in accuracy.
- Realizing operational efficiency and consistent quality from the perspective of looking at costs.
It provides a consistent and user-friendly operation environment, contributing to enhanced diagnostic quality and reduced workload.


AutoPose Cardiac GUI

AutoPose FemalePelvis

AutoPose Knee
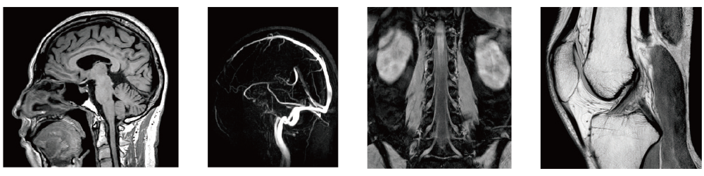
A technology to convert extensive CT data accumulated through SYNAPSE 3D into MRI images utilizing AI technology has been developed. This technology, combined with a convolutional neural network (CNN) library established during the development of organ segmentation, has been utilized in the development of MRI positioning. As a result, highly accurate positioning capabilities have been commercialized for numerous anatomical regions.
The slice line setting support function, "AutoPose," automatically sets the slice lines as soon as the scanogram is scanned.
After the completion of MRA imaging, it automatically performs clipping for cerebral MRA. The automatic clipping identifies the extraction range based on the characteristics of the head. Additional clipping can also be performed on the images after the automatic clipping process.
- * 9 AI is used for development. The performance and accuracy of the equipment will not automatically change after installation
- *10 This system performs examinations and processing automatically but does not perform diagnoses automatically. Operator verification is required
The ECHELON Smart ZeroHelium provides advanced magnetic field control with its ZeroHelium magnet and ZeroHelium technology. Therefore, after demagnetization and excitation, MRI examination can be performed without confirmation by service personnel*11.


Before ramp down

After ramp up
The installation of quench piping is not required. In addition, an emergency exhaust extraction or oxygen analyzer is not required.

Monitors magnet temperature and varies cooling and power consumption based on need. Power consumption is reduced when cooling need is low and increases when temperature increases.

A predictive failure diagnosis service for superconducting MRI systems developed by utilizing the analysis of accumulated big data focusing on system operating status and FUJIFILM’s Predictive Failure Diagnosis Service. Utilizing 24-hour monitoring of the system status and predictive diagnosis by the service allowed us to optimize inspection and parts replacement cycles and improve system uptime.

- *11 Excluding quench and emergency demagnetization
- *12 ECHELON RX
- *13 According to our company's regulations. Varies depending on conditions of use.







