このニュースリリースは、報道機関向けに発信している情報です。
富士フイルム株式会社(本社:東京都港区、代表取締役社長・CEO:後藤 禎一)は、医師の画像診断ワークフローを支援するAIプラットフォーム「SYNAPSE SAI viewer(シナプス サイ ビューワ)」*1の新バージョン「SYNAPSE SAI viewer Ver2.6」を、富士フイルムメディカル株式会社(本社:東京都港区、代表取締役社長:川原 芳博)を通じて1月31日より提供開始します。
当社は、AI技術*2を用いて医師の診断精度向上と読影業務の効率化を図るビューワとして、2019年に放射線科向け読影ビューワ「SYNAPSE SAI viewer」を発売しました。発売以降、CT画像向けを中心に読影支援機能を継続的に拡充。併行してMRI画像向けの機能拡充に向けた技術開発を進めてきました。MRI画像はシーケンスや撮像条件が多岐にわたるため、CT画像よりもAI技術開発の難易度が高いとされています。当社は、CT画像向けに構築した技術をMRI画像に転用できるAI技術の開発に成功し、MRI画像向けの読影支援機能を拡充しています。
今回提供を開始するVer2.6では、頭部MRI画像向けの3つの読影支援機能を搭載しました。具体的には、①頭部FLAIR画像から高信号領域、頭部T2*強調画像から低信号領域を抽出する「頭部FLAIR高信号強調フィルタ/頭部T2*低信号強調フィルタ」、②非造影T1強調画像に対して脳区域をラベリングする「脳区域ラベリング(MR)」、③MRA画像の血管観察を容易にする「MRA脳抽出」です。
また、CT画像読影支援機能もさらに進化させ、リンパ節抽出機能の対象範囲を拡充しました。Ver2.0で提供済の「縦隔・腋窩リンパ節抽出」機能に加え、今回、頸部・腹部のリンパ節を抽出する「CT頸部・腹部リンパ節抽出」機能を新たに搭載しました。
「SYNAPSE SAI viewer Ver2.6」で追加した機能の主な特長は以下の通りです。
脳ドックや頭痛で受診する被検者へのMRI検査では、白質病変や微小出血などを見つけて定量化を行い、脳出血の経過観察の患者へのMRI検査では、浮腫や出血のフォローアップを行います。また、近年国内で急速に普及しているアルツハイマー型認知症の治療薬の投薬前には、スクリーニング目的でMRI検査を実施します。さらに、投薬中の患者に対しては副作用のモニタリングとして、定期的にMRI検査を実施し、脳内の異常所見の有無を確認します。
今回リリースする「頭部FLAIR高信号強調フィルタ」は、FLAIR画像から周辺組織と比較して高信号の領域を抽出する機能です。一般的に、頭部FLAIR画像で高信号となる領域は白質病変や多発性硬化症、浮腫であることが多く、本機能により、これらの所見の診断支援に繋がることが期待されます。
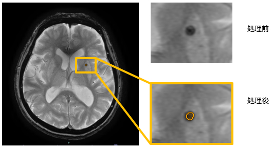
「頭部T2*低信号強調フィルタ」は、T2*強調画像から周辺組織と比較して低信号の領域を抽出します。
一般的に、頭部T2*強調画像で低信号となる領域は出血であることが多く、本機能により微小出血の診断支援に繋がることが期待されます。今回拡充する「脳区域ラベリング(MR)」機能の解剖情報を反映した所見文候補作成支援機能と併用することで、読影ワークフロー全体を支援します。
T2*強調画像で「頭部T2*低信号強調フィルタ」を用いた表示
所見文候補作成支援機能により、関心領域の場所や大きさなどの計測値情報を自動入力
「SYNAPSE SAI viewer」に既載の「脳区域ラベリング」(頭部CT画像において頭部を34区域にラベリングする機能)に続き、MRI画像にも対応した「脳区域ラベリング(MR)」を新たに提供いたします。本機能では、読影レポートに記載頻度の高い「中心前回」「中心後回」や、脳梗塞や脳出血、白質病変の好発部位である「内包前脚」「内包後脚」などを含め、非造影T1強調画像から脳111区域のラベリングを可能にします。医師は画像上で特定の脳領域を容易に同定することができるため、脳疾患の読影支援に繋がることが期待されます。
また、ラベリングした各領域の体積を算出・表示することも可能で、指定した脳領域の経時変化をグラフ表示することも可能です。
指定した領域の体積の表示・比較が可能
脳動脈瘤は、破裂してくも膜下出血を起こせば約半数が死亡、残り半数にも重篤な後遺症を残し社会復帰が困難になる疾患です。そのため、脳ドックや頭痛、めまいの精査では、MRI検査で脳動脈瘤が破裂する前に見落としなく診断し治療することが重要です。脳動脈瘤の診断ではMRA画像がよく用いられますが、脂肪や筋肉、眼球などは脳動脈瘤の発見の妨げになる恐れがあるため、除去して読影することが一般的です。
今回、MRA画像において血管観察を容易にする「MRA脳抽出」機能を搭載しました。血管観察において不要領域(眼球・顔の筋肉)を削除したVR*4またはMIP*5を表示することができます。また、前方循環/後方循環の領域のみに限定した表示も可能です。
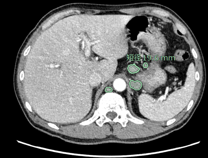
リンパ節は全身に存在しており、想定外の箇所が腫大することもあるため、読影に大きな負担がかかっています。従来、CT画像(造影・非造影)において、縦隔・腋窩リンパ節の抽出が可能でしたが、今回、頸部・腹部(大動脈周囲、骨盤部)でもリンパ節の抽出ができるように対象範囲を拡充しました。縦隔・腋窩だけではなく、頸部・腹部も含めた箇所における腫大傾向のリンパ節を拾い上げ、自動で短径計測を行います。癌の転移検索の支援に繋がることが期待されます。

頸部CT画像でのリンパ節抽出

腹部CT画像でのリンパ節抽出
富士フイルムは、AI技術ブランド「REiLI」のもと、AI技術の医療における活用の幅を広げることで、医療画像診断支援、術前シミュレーションの支援、医療現場のワークフロー支援などに取り組んでいきます。
- *1 SYNAPSE SAI viewerは以下の医療機器を含む製品の総称です。
SYNAPSE SAI viewer用 画像表示プログラム
販売名:画像診断ワークステーション用プログラム FS-V686型 認証番号:231ABBZX00028000
SYNAPSE SAI viewer用 画像処理プログラム
販売名:画像処理プログラムFS-AI683型 認証番号:231ABBZX00029000 - *2 AI技術のひとつであるディープラーニングを設計に用いました。導入後に自動的にシステムの性能や精度が変化することはありません。
- *3 「SYNAPSE SAI viewer画像解析オプション」となります。詳細は弊社営業担当までお問い合わせください。
- *4 Volume Renderingの略。
- *5 Maximum Intensity Projectionの略。
SYNAPSE SAI viewer 用画像表示プログラム
販売名:画像診断ワークステーション用プログラム FS-V686型
認証番号:231ABBZX00028000
SYNAPSE SAI viewer 用画像処理プログラム
販売名:画像処理プログラム FS-AI683型
認証番号:231ABBZX00029000
その他のSAI viewer用プログラムはお問い合せください。
2025年1月31日
富士フイルムメディカル株式会社
マーケティング部
E-mail:shm-fms-hansoku@fujifilm.com
※ 記事の内容は発表時のものです。最新情報と異なる場合(生産・販売の終了、仕様・価格の変更、組織・連絡先変更等)がありますのでご了承ください。