このニュースリリースは、報道機関向けに発信している情報です。
富士フイルム株式会社(本社:東京都港区、代表取締役社長・CEO:後藤 禎一)は、医師の画像診断ワークフローを支援するAIプラットフォーム「SYNAPSE SAI viewer(シナプス サイ ビューワ)」*1の新バージョン「SYNAPSE SAI viewer Ver2.7」を、富士フイルムメディカル株式会社(本社:東京都港区、代表取締役社長:川原 芳博)を通じて7月31日より提供を開始します。
当社は、AI技術*2を活用し、医師の診断精度向上と読影業務の効率化を支援するビューワ「SYNAPSE SAI viewer」を2019年に放射線科向けに発売しました。発売以降、CT画像の読影支援機能を中心に継続的に機能を拡充するとともに、並行してMRI画像向けの機能拡充に向けた技術開発を進めてきました。MRI画像はシーケンスや撮像条件が多岐にわたるため、CT画像よりもAI技術開発の難易度が高いとされています。当社はCT画像向けに構築した技術をMRI画像に転用できるAI技術の開発にも成功しており、MRI画像向けの読影支援機能を拡充しています。
今回提供を開始するVer2.7では、新たにオプション機能として、MRI画像での前立腺領域の読影を支援する「前立腺ビュー」と、MRI体幹部DWI*3画像での読影を支援する「Body DWIビュー」を搭載しました。また、CT画像の読影支援機能もさらに拡充し、読影医からの要望が多かった「縦隔リンパ節のラベリング機能」を新たに搭載しました。
「SYNAPSE SAI viewer Ver2.7」で追加した機能の主な特長は以下の通りです。
前立腺がんは、初期段階では自覚症状がほとんどないことが多く、発見が遅れるケースも少なくありません。進行すると骨や他臓器への転移リスクが高まることから、早期発見と適切な治療が極めて重要です。前立腺がんは、血液検査で測定されるPSA値(前立腺特異抗原)を基に、必要に応じてMRIなどの追加スクリーニング検査を実施したうえで診断されます。MRIによる評価では、「PI-RADS*5」と呼ばれる診断基準が用いられていますが、この診断基準に基づく判定手順が煩雑だと感じる医師も少なくありません。
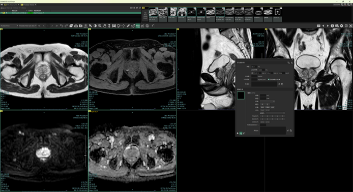
今回新たに搭載する「前立腺ビュー(MR)」は、最新版であるPI-RADS V2.1に準拠した読影を支援する機能です。本機能は、起動と同時にPI-RADS読影専用のダイアログが立ち上がり、自動で前立腺の体積を表示します。医師が血液検査で得られたPSA値を入力すると、自動でPSA密度を算出します。また腫瘍計測をすると、自動で腫瘍のサイズ/区域/側性などを表示します。さらに、医師がT2WI*6/DWI/DCE*7(ダイナミック造影像)の各スコアを入力すると、PI-RADSカテゴリーを自動で算出します。これらの計測情報やカテゴリー情報を用いて、所見文の候補を複数表示することもでき、PI-RADS読影のワークフローを支援します。
前立腺ビュー(MR)のレイアウトイメージ図
前立腺ビューでの読影支援機能。
腫瘍計測をすると、自動で腫瘍のサイズ/区域/側性などを表示します。
また、医師が選択した各画像スコアに基づき、PI-RADSカテゴリーを自動算出します。
近年、MRIを用いた全身がんスクリーニング検査として注目されているWhole Body Diffusion Weighted Imaging(以下、WBDWI)は、全身を対象とした検査が可能であるほか、骨シンチグラフィやPET検査のように放射性同位元素を使用しないため、被ばくすることなくがんの骨転移やリンパ節転移を検出できます。また、現在は特定の施設基準*9を満たすことにより、前立腺がんにおける骨転移診断を目的とした診療報酬加算が認められ、この検査への関心がさらに高まっています。一方で、WBDWIには以下のような課題があり、読影に時間がかかることが指摘されてきました。
- 複数部位の撮像が必要であり、部位ごとのシリーズ結合作業(スティッチング)が必要となる。
- 撮像部位ごとに適切なコントラストが異なり、部位ごとのコントラスト補正に手間がかかる。
- 骨転移検索を目的とした読影では、骨以外の高信号領域の削除作業が発生する。
今回新たに搭載する「Body DWIビュー(MR)」は、こうした課題を解決し、WBDWI 読影の効率化を支援する機能です。本機能は、スティッチングやコントラスト補正を自動化することで、調整作業にかかる手間を軽減します。さらに、MRIの三次元セグメンテーション技術とDWI解析を組み合わせることで、骨領域のみに、ADCカラーマップ表示*10を行うことができ、骨転移箇所探索の支援につながることが期待できます。
Body DWIビュー(MR)のレイアウト画面
Body DWIビュー(MR)での自動スティッチング機能および自動信号値補正機能。
骨抽出機能の例。骨転移検索目的での読影効率化に繋がることが期待できます。
リンパ節は全身に存在しており、想定外の箇所で腫大が生じる場合もあるため、その読影には大きな負担を要します。従来、「SYNAPSE SAI viewer」ではCT画像(造影・非造影)における頸部/縦隔・腋窩/腹部の腫大傾向のリンパ節の抽出が可能でしたが、レポート作成時に必要なリンパ節の解剖学的名称の把握をより簡便化する機能に対する市場要望がありました。今回搭載する新機能は、肺がん取扱い規約(第8版)および食道がん取扱い規約(第12版)の2つのガイドラインで定義された縦隔リンパ節区域をラベリングできる機能です。既に搭載されているリンパ節抽出機能と合わせて本機能をご利用いただくことで、解剖区域を埋め込んだスマート定型文を呼び出すことができ、レポート作成効率の向上が期待されます。

肺癌取り扱い規約(第8版)によるラベリング

食道癌取り扱い規約(第12版)によるラベリング
リリース済みのリンパ節抽出機能と併用することで、取扱い規約に則った解剖区域を埋め込んだ所見文候補を表示可能です。
富士フイルムは、AI技術ブランド「REiLI」のもと、AI技術の医療における活用の幅を広げることで、医療画像診断支援、術前シミュレーションの支援、医療現場のワークフロー支援などに取り組んでいきます。
- *1 SYNAPSE SAI viewerは以下の医療機器を含む製品の総称です。
SYNAPSE SAI viewer用 画像表示プログラム
販売名:画像診断ワークステーション用プログラム FS-V686型 認証番号:231ABBZX00028000
SYNAPSE SAI viewer用 画像処理プログラム
販売名:画像処理プログラムFS-AI683型 認証番号:231ABBZX00029000 - *2 AI技術のひとつであるディープラーニングを設計に用いました。導入後に自動的にシステムの性能や精度が変化することはありません。
- *3 DWI(拡散強調画像)とは、MRIの撮影方法の一つで、水分子の拡散運動を画像化するものです。
- *4 オプション販売となります。詳細は弊社営業担当までお問い合わせください。
- *5 Prostate Imaging–Reporting and Data Systemの略。前立腺MRI画像診断における評価とレポートの標準化を目的としています。前立腺のMRI画像所見を基に、前立腺がんの疑いの強さを5段階で評価するシステムです。カテゴリー1は、がんの疑いが非常に低い、カテゴリー5は、がんの疑いが非常に高いと判断されます。
- *6 T2WI(T2強調画像)とは、MRIにおける撮像方法の一つで、体内の水分が多い部分を強調して表示する画像のことです。特に、脳梗塞や脳腫瘍、炎症性疾患などの診断に有用とされています。
- *7 DCE(ダイナミック造影MRI)とは、造影剤を投与し、その時間的な変化を画像化することで、腫瘤の血管新生や透過性などを評価するMRI検査のことです。
- *8 オプション販売となります。詳細は弊社営業担当までお問い合わせください。
- *9 全身MRI撮像の指針(https://www.radiology.jp/member_info/ninsyoushisetsu2024_2025.html)を満たす必要があります。
- *10 ADCカラーマップとは、拡散強調画像から算出されるADC(apparent diffusion coefficient)の値を、カラー表示することです。ADCは、生体内の分子の拡散運動の程度を示す指標で、この値をカラー表示することで、病変部の拡散特性を視覚的に把握しやすくなります。
- *11 オプション販売となります。詳細は弊社営業担当までお問い合わせください。
SYNAPSE SAI viewer 用画像表示プログラム
販売名:画像診断ワークステーション用プログラム FS-V686型
認証番号:231ABBZX00028000
SYNAPSE SAI viewer 用画像処理プログラム
販売名:画像処理プログラム FS-AI683型
認証番号:231ABBZX00029000
その他のSAI viewer用プログラムはお問い合せください。
2025年7月31日
富士フイルムメディカル株式会社
マーケティング部
E-mail:shm-fms-hansoku@fujifilm.com
※ 記事の内容は発表時のものです。最新情報と異なる場合(生産・販売の終了、仕様・価格の変更、組織・連絡先変更等)がありますのでご了承ください。