このウェブサイトはクッキーを使用しています。このサイトを使用することにより、プライバシーポリシーに同意したことになります。

ホーム お知らせ 3D画像解析システム「SYNAPSE VINCENT Ver7.3」の提供開始
ニュースリリース

2026年2月27日

3D画像解析システム「SYNAPSE VINCENT Ver7.3」の提供開始

婦人科、泌尿器科領域向けに新規アプリケーションを展開し骨盤外科領域に本格参入

このニュースリリースは、報道機関向けに発信している情報です。

富士フイルム株式会社(本社:東京都港区、代表取締役社長・CEO:後藤 禎一)は、CTやMRIなどの断層画像から高精度な3D画像を描出し、解析を行う3D画像解析システム「SYNAPSE VINCENT(シナプスヴィンセント)」*1の最新バージョンとして「SYNAPSE VINCENT Ver7.3」を、富士フイルムメディカル株式会社(本社:東京都港区、代表取締役社長:川原 芳博)を通じて2月27日より提供開始します。

「SYNAPSE VINCENT」は2008年の発売以来、当社の画像認識技術を生かして機能の拡充とバージョンアップを重ね、多様化する医療現場のニーズに対応した3D画像解析システムとして、診断や治療の場で広く活用されています。

今回提供を開始する「SYNAPSE VINCENT Ver7.3」では、これまでに提供している「直腸解析」に加え、子宮や卵巣領域の術前シミュレーションを想定した「婦人科臓器解析」、膀胱や前立腺の術前シミュレーションを想定した「膀胱周辺臓器解析」を新たにラインアップします。 
いずれの解析機能も、CT画像やMR画像からの臓器セグメンテーションおよび3D画像解析において当社のAI技術*2を活用しています。今回、骨盤内臓器に対する術前シミュレーションを幅広くサポートできるようになり、骨盤外科領域に本格参入します。
頭部領域や循環器領域、呼吸器領域のアプリケーションにおいても、脳区域解析での正常脳*3との比較や冠動脈解析(CT)内での冠動脈脂肪組織濃度(Fat Attenuation Index: FAI)などの評価指標に新たに対応しました。主な機能は以下の通りです。

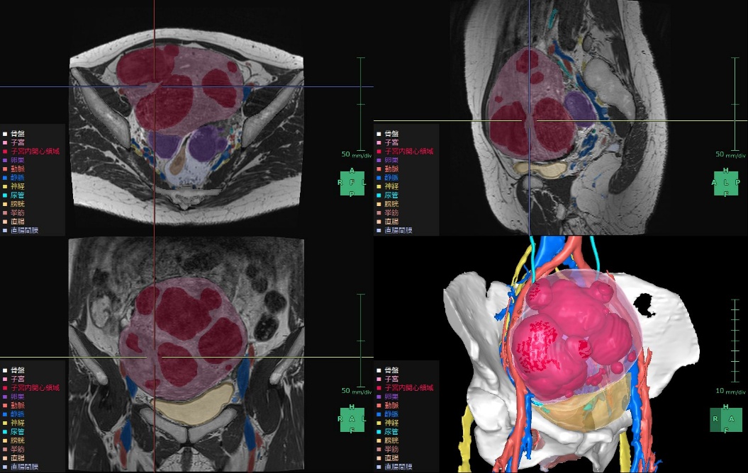
(1)婦人科臓器解析

子宮筋腫は、成人女性の罹患率が20~30%と高頻度に見られる疾患*4で、機能温存が重要とされています。MRIや超音波画像診断装置の2D画像では筋腫や周囲組織の3次元的な把握が難しく、骨盤内の複雑な解剖構造の理解も困難です。また、筋腫の大きさや数、妊孕性温存の希望などにより様々な手技が適用されますが、筋腫の計測や手技の選択は各医師の経験則や感覚に基づいて行われているという課題があります。「婦人科臓器解析」ではMRIのT2画像からAI技術*2を活用した抽出エンジンを用いて子宮周囲の臓器をセグメンテーションし、ユーザーが子宮筋腫と判断した箇所の体積・数・深さの定量化を行うことができます。また、3Dで周辺組織との位置関係を把握することで筋腫手術の低侵襲化や取り残し防止等への寄与が期待されます。

(2)膀胱周辺臓器解析

術前のCT画像やMR画像から3D構築を行うことで、骨盤腔内の膀胱周辺臓器や神経、血管の位置関係を把握し、患者ごとに異なる血管走行などの解剖学的特徴を把握し、手術シミュレーションを行うことができます。
すでに解析機能を提供している直腸と同様に、 骨盤内に位置する膀胱や前立腺の手術においても周囲の血管や尿管、臓器の位置関係の把握は非常に重要です。このニーズに対応して、骨盤内の泌尿器科領域に対応したアプリケーション「膀胱周辺臓器解析」を新たにリリースします。この機能により膀胱周囲の臓器や神経、血管の位置把握を支援することで、前立腺癌や膀胱癌手術時のリンパ節郭清等において手術リスクの低減と治療成績の向上への貢献が期待されます。

(3)循環器領域の機能アップデート

心臓の動きを補完してより滑らかな4D画像表現を行うことができる「心臓4Dビューア」を新たにラインアップします。非剛体位置合わせの補完技術により、拍動する心臓の4DCT画像から滑らかな4D画像表現が可能です。また、冠動脈解析(CT)内の機能として、血管周囲の炎症の指標として近年関心が高まっている冠動脈脂肪組織濃度(FAI)の計測機能*5を追加します。循環器領域のご要望に応える機能を搭載し、医療の質向上に貢献します。

(4)定量評価機能の拡充

脳区域解析や間質性肺疾患解析においても医療現場のニーズに対応し、セグメンテーションした領域の定量化とレポート作成機能を新たに搭載しました。幅広いシーンで活用できる3Dワークステーションとして、アップデートしています。
従来の脳区域解析では、MR画像から脳を107領域にセグメンテーションし、定量評価をすることが可能でした。新バージョンではこれに加えて、正常脳*3と体積を比較する機能やアミロイドPET画像とのフュージョン時にSUVR(Standardized Uptake Value Ratio)を自動算出する機能を搭載し、これらの情報を自動でレポートに反映することができます。

2025年にリリースした間質性肺疾患解析*6にも新たにレポート機能を搭載し、CT画像から定量評価した結果をレポートとしてアウトプットする一連のフローを「SYNAPSE VINCENT」で行うことができるようになります。

富士フイルムは、医療AI技術ブランド「REiLI」のもと、AI技術の医療における活用の幅を広げることで、医療画像診断支援、術前シミュレーションの支援、医療現場のワークフロー支援などに取り組んでまいります。

 

  • *1 SYNAPSE VINCENTは以下の医療機器を指します。
    販売名:富士画像診断ワークステーション FN-7941 型、認証番号:22000BZX00238000
  • *2 AI技術のひとつであるディープラーニングを設計に用いました。導入後に自動的にシステムの性能や精度が変化することはありません。
  • *3 認知機能が正常な20代~80代の脳の各領域の体積を年齢、性別ごとに分類し正常脳と定義しています。 
  • *4 子宮筋腫 公益社団法人 日本産科婦人科学会(HP https://www.jsog.or.jp/citizen/5711/
  • *5 指定した計測範囲と脂肪の閾値に対して算出し、計算結果を表示します。
  • *6 販売名:間質性肺疾患定量評価支援プログラム FS-AI694 型、承認番号:30700BZX00073000
1.品名

3D画像解析システムSYNAPSE VINCENT
販売名 : 富士画像診断ワークステーション FN-7941型
承認番号 : 22000BZX00238000

2.提供開始時期

2026年2月27日

お問い合わせ

富士フイルムメディカル株式会社
マーケティング部

E-mail:shm-fms-hansoku@fujifilm.com

※ 記事の内容は発表時のものです。最新情報と異なる場合(生産・販売の終了、仕様・価格の変更、組織・連絡先変更等)がありますのでご了承ください。