このコンテンツは獣医療従事者向けの内容です。
- イヌ腸管型T細胞リンパ腫(ITCL)75症例を対象に、詳細な免疫表現型解析および遺伝子変異解析を実施。
- 多くの症例でCD4・CD8・TCRなどのT細胞表面抗原が欠失しており、従来のT細胞分類に当てはまらない特徴的な免疫表現型を示すことが明らかに。
- NF-κB経路抑制因子(NFKBIA)の機能喪失変異、STAT3経路の機能亢進など、腫瘍化に関わる分子異常を高頻度に認めた。
- イヌ腸管型T細胞リンパ腫は一般的に高悪性度であり、低悪性度症例や慢性腸炎との鑑別におけるこれらの知見の応用が期待される。
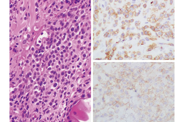
腸管型T細胞リンパ腫(ITCL)はイヌでしばしば遭遇する疾患であり、腫瘍細胞が大型のものや貫壁性に腫瘍細胞が浸潤する症例は予後不良として知られています(図1)。病理組織学的には、慢性腸炎で活性化した上皮内リンパ球が腫瘍化した病態が想定されていますが、その詳細は十分に解明されていませんでした。
一方、ヒトではグルテン不耐による自己免疫性腸炎(セリアック病)を背景として、腸症関連T細胞リンパ腫(EATL)が発生します。EATLは極めて悪性度が高く、効果的な治療法が確立していない難治性疾患です。以前からイヌITCLの病態はEATLと類似するといわれてきましたが、分子レベルでの根拠は乏しい状況でした。
本研究では、75症例のイヌITCLについて免疫表現型および遺伝子変異を網羅的に解析し、両疾患の類似点と差異を分子レベルで明らかにすることを目的に実施しました。
本研究では、イヌ腸管型T細胞リンパ腫(ITCL)75症例について、免疫表現型と遺伝子変異の詳細な解析を行い、腫瘍細胞の特徴と病態の背景を明らかにしました。ITCLは内視鏡生検で診断される粘膜主体の病変と、外科切除で診断される腫瘤形成や穿孔をきたす病変が存在するため、症例を4つの群(内視鏡/大細胞型; 外科切除/大細胞型; 内視鏡/小細胞型; 外科切除/小細胞型)に分類し、解析を行いました。
免疫表現型解析の結果、ITCLの中でも大細胞型の多くはCD4やCD8を発現せず、T細胞受容体も半数以上の症例で消失していました。また、ほとんどの症例が細胞傷害性顆粒を保持しており、一部ではNK細胞マーカー(NKp46)のmRNA発現が認められたことから、腫瘍細胞が細胞傷害性T細胞またはNK細胞に近い性質を有していることが示されました。さらに、内視鏡症例を中心に上皮内リンパ球マーカー(CD103)のmRNA発現が認められ、これらの腫瘍が上皮内リンパ球由来であることが示唆されました。
遺伝子変異解析では、NF-κB経路の抑制因子であるNFKBIA遺伝子に41例で変異を認め、一部は機能喪失が疑われる切断型変異でした。これらの変異は外科切除症例で高頻度に認められ、腫瘍の浸潤性と関連している可能性があります。また、STAT3遺伝子にも16例で変異がみられ、免疫組織化学による検討ではSTAT3経路の活性化が明らかになりました。
生存期間の調査では、内視鏡にて小細胞リンパ腫と診断された症例は比較的長く生存し、腫瘤形成や穿孔を伴う外科切除症例や大細胞リンパ腫と診断された症例の生存期間は短く、腫瘍細胞の形態や増殖パターンが症例の予後に影響することが示唆されました。

図1 イヌ腸管型T細胞リンパ腫の病理組織像
T細胞表面抗原の消失はヒトEATLでも認められ、診断上重要な所見として知られています。また、ヒトEATLでもNF-κB経路抑制因子の機能喪失変異やSTAT3遺伝子の機能獲得変異を高頻度に生じることから、イヌITCLとヒトEATLで腫瘍化に伴う細胞内シグナルの変化は共通していることが示唆されました。
今回イヌITCLの典型的な免疫表現型が明らかになったことで、今後、これらとは臨床的に区別されうる低悪性度の症例(CD4+など)を見出すことが期待されます。また、イヌITCLはしばしば慢性腸炎との鑑別が課題となる疾患であり、本研究で得られた知見は、両者を見分けるうえでも有用な手掛かりとなる可能性があります。
執筆:小島 一優 先生 (東京大学大学院農学生命科学研究科 獣医病理学研究室)
- 発表論文タイトル
Immunophenotyping and Mutation Analysis of Canine Intestinal T-Cell Lymphoma: A Comparative Pathological Study of Human Enteropathy-Associated T-Cell Lymphoma.
- 著者
Kojima K, Chambers JK, Nakashima K, Nibe K, Uchida K.
- 掲載誌
Veterinary and comparative oncology
- URL
近年、犬猫に適用可能な抗体の増加により、従来は同一に見えていたリンパ腫にも多様な免疫表現型が存在することが明らかになりつつあります。これらの違いを臨床情報と統合することで、予後予測や治療選択に有用な、より臨床的意義の高い組織型分類の確立が期待されます。今後の分類体系の発展のため、症例および臨床情報の収集へのご協力をお願いいたします。




