The content on this page is intended to healthcare professionals and equivalents.
Applications which enhance the usefulness of head and thoraco-abdominal images.
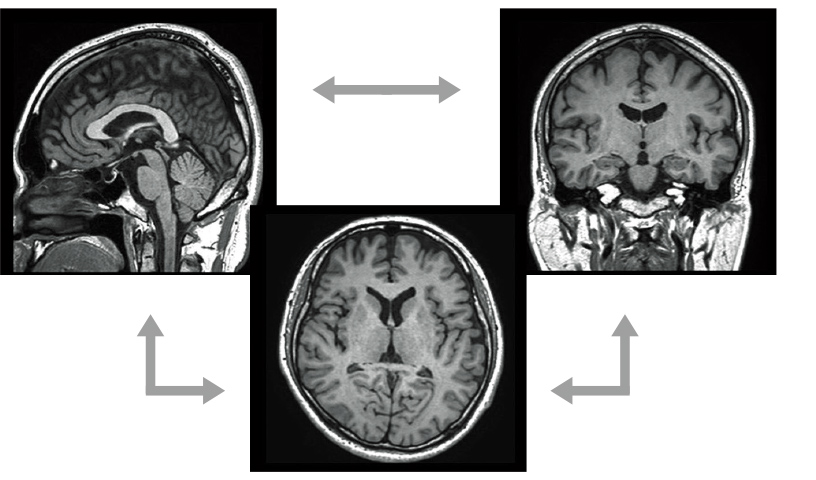
Combined use of RADAR in sequences required for routine head examinations
RADAR mitigates motion artifacts enhancing ease of use when imaging with many sequences, all receiver coils, and arbitrary cross-sections. RADAR can be used in combination with highspeed imaging. ECHELON Smart supports TOF and GrE sequences and is compatible with the combined use of RADAR for most of the sequences required for routine head examinations, thus realizing "All Around RADAR."

Effects of RADAR in TOF MRA and GrE T2*WI
RADAR has been applied to GrE sequences using a high-precision signal correction technology. This has enabled the combined use of RADAR in all sequences required for routine head examinations.

Diagnosis of carotid artery plaque characteristics requires an MR image with high T1 contrast.

The asynchronous RADAR-SE method to which Radial Scan has been applied maintains a constant TR without influence from pulsation, and can conduct imaging with a high T1 contrast appropriate for diagnosis of plaque characteristics.

By normalizing the ROI signal strength to a reference, the SIR Map displays a color map of signal strength ratios. Applying this to Plaque Imaging could facilitate diagnosis of the plaque characteristics.
isoFSE is a high-speed 3D imaging function for isovoxels. The flip angles of refocus pulses of FSE are varied to suppress the influence from signal strength fluctuations of MultiEchoes and enable highdefinition 3D imaging. The optimization of these application patterns results in high contrasts achieved with T1WI, T2WI, and FLAIR images.
The high spatial resolution volume data acquired in imaging can be used to reconstruct images of any cross-section in MPR processing.

Reconstruction available for any cross-section
Addition of hemodynamic information to TOF
Pencil-beam type pre-saturation (BeamSat) pulses based on the application of local excitation are used in TOF imaging to selectively suppress some of the blood flow signals required for identification of the hemodynamics.
If imaging is conducted with BeamSat pulses specified for a target blood vessel, the flow signals of that vessel can be suppressed, and the dominant region can be identified. BeamSat pulses can be set to arbitrary positions and angles using a special GUI. The positions of BeamSat pulses can be set freely with respect to a target vessel.

High-precision control of pre-saturation pulses using the spiral-type two dimensional excitation method

Beam-form pre-saturation pulse realized by a high system performance

In the BeamSat display, the continuous line represents a nearer part and the broken line a part farther than the scanogram; the hatched part is a cross-section between a BeamSat and a scanogram.

SAG cross-section: Position contacting nasal root/sella turcica
AX cross-section: Position contacting pyramid/clivus
Subtraction of images with and without BeamSat pulses can be displayed in a reversed black-and-white image to visualize it as in MR-DSA.

Without BeamSat

With BeamSat

Subtraction image (reversed black-and-white image)
VASC-ASL is a non-contrast imaging method that can visualize fast blood flow in the renal artery and portal vein in the abdomen. This feature visualizes blood flows labelled with IR pulses using the 3D BASG sequence and does not require ECG/pulse wave synchronization.
Selectively applying IR pulses upstream in the blood vessels to be visualized and acquiring images when the blood flow is Null enables the incoming labelled blood flow to be visualized as Black Blood. Therefore, by capturing images twice with selective IR pulses ON and OFF and acquiring a subtraction image, blood flows labelled with IR pulses will be visualized as a high-intensity area.

Examples of VASC-ASL images
High-speed, high-resolution 3D T2*WI imaging is used to acquire images that sensitively reflect differences in magnetic susceptibility.
Our BSI offers high-speed imaging due to EPI measurement.
Venous blood and hemorrhage cause loss of signals in T2* images due to BOLD (blood-oxygen level dependent) effects. BSI performs minimum intensity projection (minIP) processing and superimposes phase information to further increase the contrast of images.

Examples of BSI (minP) images
Using the difference in resonant frequencies between water and fat protons due to chemical shifts, both water and fat images can be acquired in one round of imaging. FatSep acquires data when the MR signals of water and fat are respectively in-phase and out-of-phase, and adds or subtracts them to generate water and fat images.
FatSep can output images according to a degree of change in magnetic susceptibility. If there is a greater change in magnetic susceptibility, Fine mode can be selected to give a high-definition phase map and enhance the image quality.

Uniform RF radiation is one element required to achieve a high fat suppression effect. In general, achieving uniform RF radiation in a large FOV is difficult. H-Sinc applies more than one CHESS pulse to realize fat suppression, minimizing the impact from non-uniform RF radiation. A stable fat suppression effect can be achieved even over a large range.


Wide-range, stable fat suppression with H-Sinc
The use of TIGRE enables dynamic imaging in organs such as the liver. The large fat component in the abdomen and breast regions require high-precision fat suppression. We have realized uniform fat suppression effects and dynamic imaging in the abdomen and breast through combined use of high uniformity of the static magnetic field and H-Sinc which corrects for RF non-uniformity.


Breast TIGRE image

Abdominal dynamic image (TIGRE)
This function can map the distribution of T2* values to improve the visibility of iron deposition in liver tissue. A special sequence based on the GRE method (ADAGE) is available to acquire MultiEcho images used to automatically calculate T2* values. When analysis is conducted on the console, a color map of these T2* values is superimposed on a morphological image to create a T2* RelaxMap.
You can also create an R2 (Relaxation rate) map based on 1/T2* values. The relative color display of an area with shortened T2* values can be used as a quantitative evaluation of iron deposits.

- *1 Optional








