The content on this page is intended to healthcare professionals and equivalents.

3D-TOF MRA (MIP)

3D-TOF WideMRA (MIP)

DWI

BSI

ASL-Perfusion

BPAS

isoFSE-FLAIR (VR)

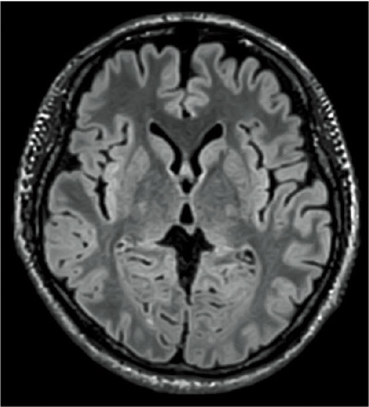
isoFSE-MPR (AX)

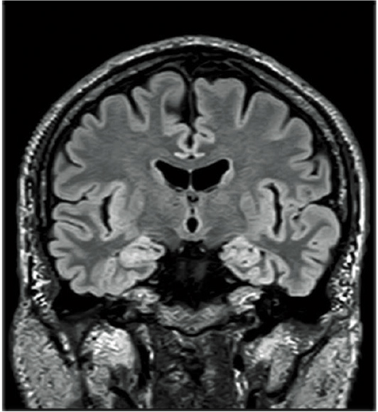
isoFSE-MPR (COR)

3D-isoFSE MRCP (MIP)

VASC-ASL (MIP)

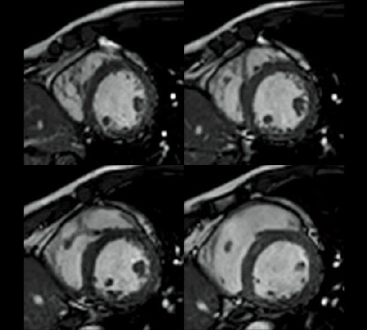
BASG-Cine

VASC-ASL (MIP)

VASC-ASL (VR)

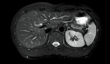
RADAR-FatSat T2WI (RG)

Body-DWI (Reverse)

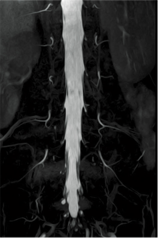
VASC-FSE (MIP)

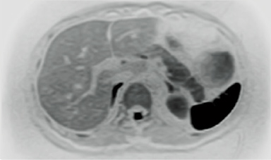
FatSep-T2WI (In)

FatSep-T2WI (Water)

ADAGE-T2*WI

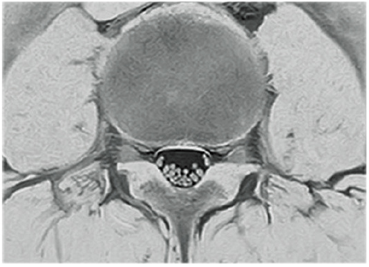
HighRes-T2WI

HighRes-T2WI (Reverse)

WholeSpine-T2WI

3D-BASG (MIP)

3D-RSSG-MPR (Obl)

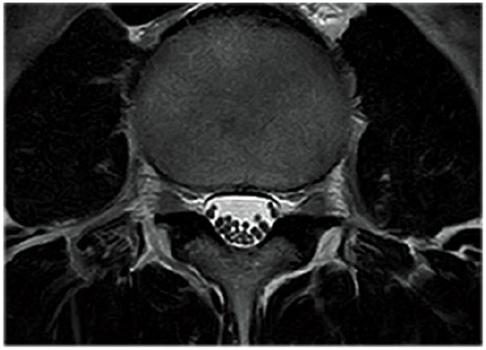
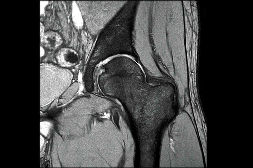
HighRes-PDWI

ADAGE-T2*WI

FatSat PDWI

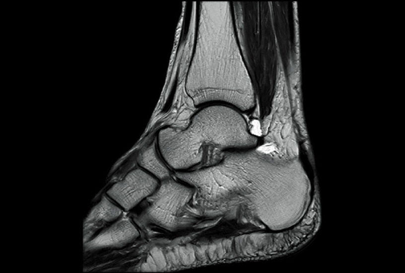
HighRes-T2WI

WholeBody-DWI (MIP)

ADAGE-T2*WI

T2 RelaxMap (ColorMap)








