The content on this page is intended to healthcare professionals and equivalents.
Enhanced operability to support efficient and reliable diagnosis, including ease of operation and image sharing.
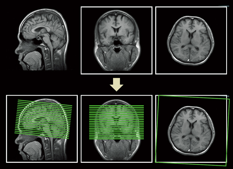
AutoPose is a function that supports slice line parameters. This function allows faster set-up of the OM or AC-PC lines used in head examinations and reduces strain on the operator. Prior settings such as teach/register and 3D data acquisition are not required.


A soft celadon-based colour set, has been adopted for the GUI (Graphical User Interface). MRI imaging parameters that can be complex are more easily displayed on the Windows-based wide screen.


Routine protocols can be easily registered and changed by the operator, even during the examination to optimize the settings according to the patient and clinical requirements.
Arbitrary curved cross-sections can be reconstructed using data acquired through imaging. In addition, multiple curved-sections can be reconstructed simultaneously.
This function provides guidance for parameter settings. During protocol change, several options are displayed to allow the operator to select the parameter most appropriate for that particular scenario.
Radial MPR images are created which can be useful when diagnosing complex structural tissue such as within the knee joint.
The DICOM interface is included as standard in the AIRIS Vento which adapts to the hospital’s current networks and which will continue to evolve and upgrade
over time. DICOM MWM*1, SWF*1, and PIR*1 functions are also supported.
Support for the IHE PDI*1 standard is provided to enable various data exchanges, such as image zoom and rotation display, with other systems supporting the PDI standard. Ability to write DICOM data and simple browser software*2 to a CD-R are also included.
- *1 Optional.
- *2 Cannot be used for diagnostic purposes.








