The content on this page is intended to healthcare professionals and equivalents.
RADAR uses radial scan technology to mitigate motion artefact caused by a patient’s body movement due to voluntary or involuntary motion. Available with T2WI but also T1WI and FLAIR imaging in various plane and various body region including the head and shoulder joint, which are susceptible to respiration movements and the cervical spine that can be affected by swallowing movements. RADAR can help reduce repeat scans and improve image quality.
VASC-ASL is a non-contrast MRA imaging function that uses 3D BASG (Balanced SARGE) to visualize the blood flow labelled with IR pulses. This function is used to produce images of portal veins, renal arteries, and upper and lower extremity arteries.
This function offers high-speed T1WI imaging through Gradient Echo with IR pulse. This allows high contrast, 3D, high spatial resolution images to be acquired. This function can be used for measurement of volume data when imaging the head.
Volume rendering, a reconstruction method, can be created on the console. The blood flow movement can be determined stereoscopically compared to MIP, providing support to diagnosis of regions with complex vascular structures such as the head.
- *1 Option
Our magnetic circuit technology with diagnostic function which enables sharper, higher definition imaging of challenging body regions and applications.
SuperShim is a technology that increases the uniformity of the static field, which is of paramount importance in MRI. Non-uniformity in the magnetic field cannot be fully corrected with first order shimming which performs linear correction. SuperShim is provided to reduce non-uniformity in the magnetic field by enabling high order shimming.
This function enables high spatial resolution imaging which result in higher definition images of joint regions required for orthopedic areas. An image reconstruction matrix of 2048 x 2048 is achieved through the high-speed imaging processor.
The FatSep (fat water separation) function enables imaging of different TE to acquire in-phase and out-of-phase images simultaneously. The two types of images are added to form fat suppressed images. Through this additional process, FatSep provides fat suppressed images with a good SN ratio and clarity. It can also provide a Fat image through a subtraction process.
Regions that require a small FOV and high spatial resolution as in orthopedics need higher sensitivity receiver coils. The solenoid coil adopted in the AIRIS Vento delivers this high sensitivity. The small diameter coil is tailored to fit the body and the target region easily positioned to the centre of the coil where sensitivity is at the highest. This is appropriate for acquiring images of regions that require a small FOV together with high spatial resolution, as in orthopedics.

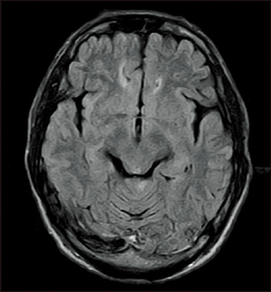
FLAIR

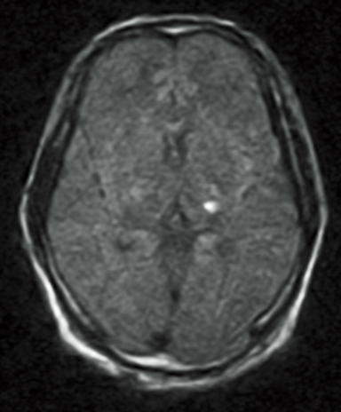
DWI

ADC map

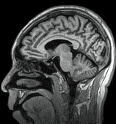
3D-GEIR

3D-TOF VR image

FSE-RADAR DWI

STIR

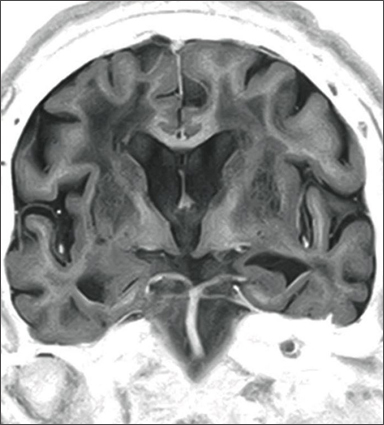
FatSep-T1WI

3D-BASG








