The content on this page is intended to healthcare professionals and equivalents.
Pre-existing examination protocols and imaging conditions can be programmed. Button operations can be reduced significantly to support efficient examinations. Additionally, a reference image can be displayed via the Guide View function.
Simpson measurement, which utilizes AI technology*1, automatically recognizes LV, LA and RA intima and measures the volume. Additionally, a wide range of functions are supported to improve the workflow of cardiovascular measurement, such as Doppler Cursor Assist.


The Intelligent Series improves cardiovascular measurement workflows by combining automated functions and measurements.
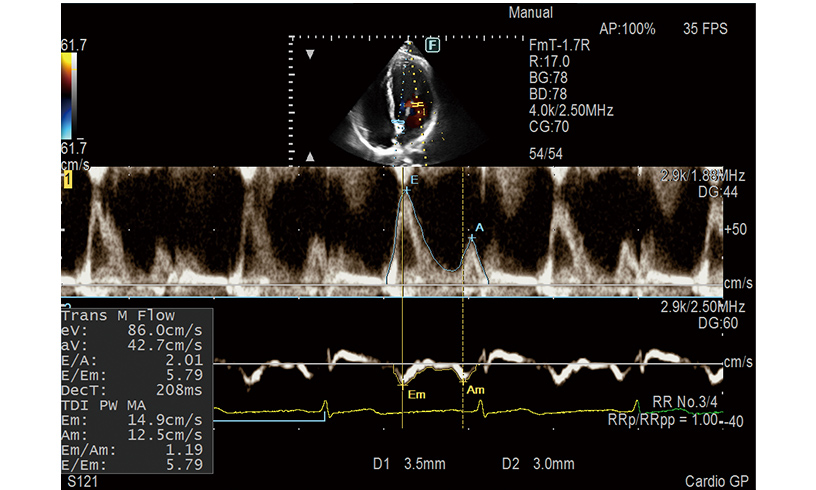
E/e', one of the key LV diastolic performance indices, is measured automatically in Dual Gate Doppler. Using this feature in combination with R-R Navigation, iDGD detects an appropriate heartbeat for measurement automatically.


Automatically conducts various measurements via the 2D tracking method. The steps for ROI setting and analysis can be saved to shorten examination time significantly. Global Longitudinal Strain (GLS), which is attracting attention in heart failure examinations, can be measured easily.


- *1 The technology was developed and designed using machine learning, one of AI technologies. The performance and accuracy of the system does not automatically change after implementation.
- *2 Option








