The content on this page is intended to healthcare professionals and equivalents.
LISENDO 880LE covers multiple, advanced, easy-to-use application tools that supports diagnosis. In specific clinical settings where precision and rapid diagnosis are the premium requirements, a few simple steps will result in performance at the highest level with effective diagnostic information.
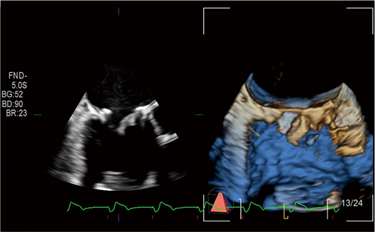
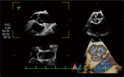
Cardiac 3D is becoming an indispensable part of the cardiac examination. Diagnostic information is attained at the next level for diagnosis and treatment in cardiac disease. The high quality product is achieved in all aspects of image quality, operability, and functionality.






Automatic calculation of Ejection Fraction from 3D volume data. The BiPlane images (4ch and 2ch) are displayed with ED/ES frames selected automatically.
GLS, an index to evaluate the left ventricular systolic performance in the long axis, is widely used as a method to detect slight changes in left ventricular function. Considering GLS use in routine examinations, simultaneous calculation of GLS values is supported in a normal Simpson measurement of the left ventricle as well as a use in speckle tracking method.
A validated application that demonstrates blood flow patterns in the heart in a new way. From one cine loop, flow direction without angle dependency, vorticity, energy loss, wall shear stress and relative pressure can all be appraised. Wall Shear Stress (WSS) can be applied to blood vessels as well.
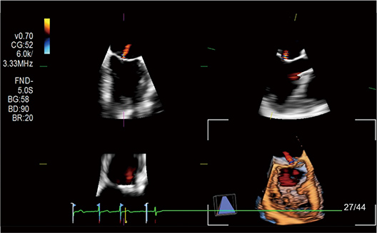
Dual Gate Doppler (DGD) can place two sample gates to detect waveforms of the same heartbeat, and the combination of PW and TDI is available. It is possible to perform diastolic performance evaluations such as E/e' measurement and TE-e' measurement stably by using DGD in combination with R-R Navigation, which automatically detects the appropriate heartbeat for measurement.


Automatically detects the Intima-Media Thickness (IMT) following the placement of an ROI on the long axis view of the carotid artery, measuring max and mean IMT according to diagnostic guidelines. By calculating the maximum, minimum, mean, and Standard Deviation (SD) from all points in the ROI, Auto IMT is expected to improve quantification accuracy.








