The content on this page is intended to healthcare professionals and equivalents.
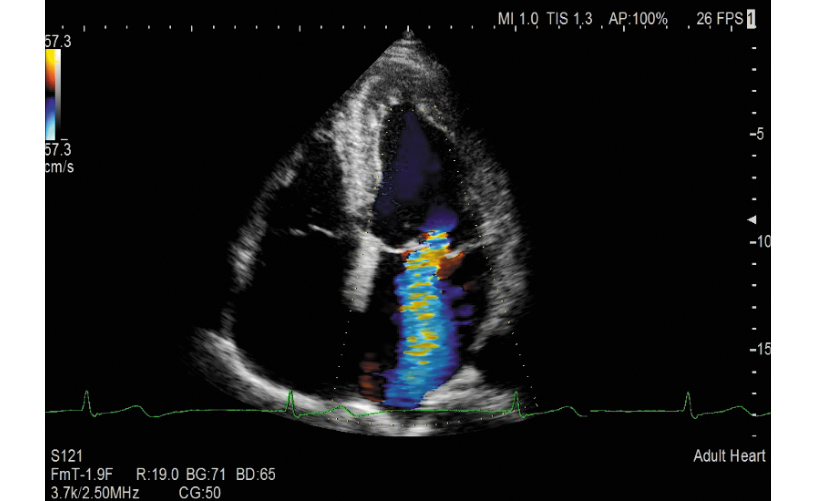
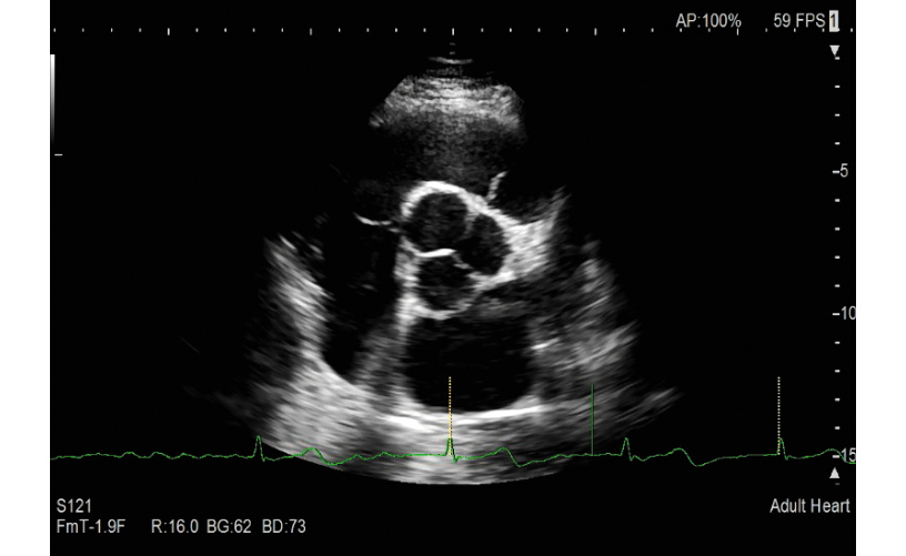
A wide range of essential image adjustment parameters dedicated to high cardiac image quality; a variety of technologies to reduce confounding factors that inhibit signal fidelity such as patient dependent variability; transducers, image processing algorithms, monitor display: PURE SYMPHONIC ARCHITECTURE providing premium level image clarity for cardiac diagnosis.
The phased array transducer has been designed to realize the high spatial, temporal and contrast resolution especially required for cardiology. With an improved shape that is comfortable to hold and fits easily in intercostal spaces, it can reduce variable factors such as user skill- and patient disease-dependencies that can inhibit image clarity.


The transmission/reception technology for LISENDO 880LE realizes significant S/N improvement and reduces focal dependency whilst providing excellent penetration at higher frequencies. eFocusing offers a real-time display not modified by image processing, selected by a one-touch operation.
The Fujifilm Group's image processing technologies evolved from former models are further refined for LISENDO 880LE. Combined with the newly developed transducers and eFocusing technology, they deliver imaging with outstanding definition which can be adjusted for each user's preference.








