-
A thread that connects opposite concepts like the ability to combine reality with statistics and the ability to predict risks during product use, with performance improvements and robust systems
-
We reliably visualize and present data customers wish to see with high performance, precision, and functionality, for a diverse range of environments and phenomena that impact the market
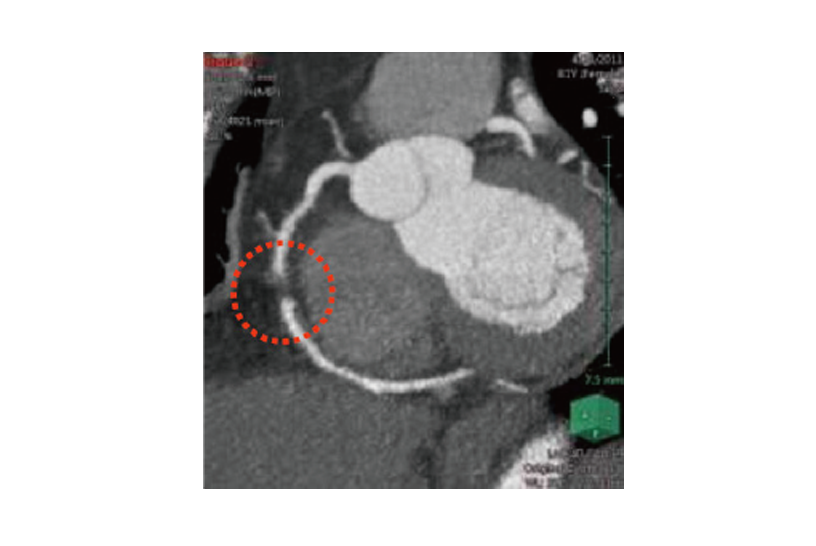
3D Imaging and Analysis System Volume Analyzer
Capable of precisely and accurately isolating sectors regardless of individual differences or widely-varied lesions or image qualities. Also compatible with unknown ailments, such as severed blood vessels.
A Service That Creates Albums From Numerous Images With Ease
A service that automatically analyzes and selects good images from countless entries in storage, and automatically places them in an optimized layout. It also features a thorough assortment of features that leverage AI technology, for selecting ideal images to represent album themes.
Laser Light Source Next-Generation Endoscopy System
Isolates and emphasizes surface blood vessels, without impact from the fluctuating dispersion from laser light sources or internal tissue environments.Also clearly depicts subtle distinctions in surface blood vessels and other tissue.
Low/Passless Structured Optical Imaging Sensor
A system configured properly for eliminating digital blur caused by regular sensor placement, regardless of the imaging environment or target. This allows us to achieve artifact-free, high-detail imaging.













