本頁面所載內容,意在提供醫療保健專業人員及同等人員使用。
隨著未來各類疾病的持續增加,預防、診斷和治療將更加重要,以維繫健全的醫療體系並提升患者的生活品質。
為了因應未來的醫療環境,提供更準確、低侵入性且高效率的檢查體驗,高功能、多用途的 CT 系統將發揮關鍵作用,不僅能用於心臟檢查,也能支援廣泛的臨床應用。
富士軟片憑藉多年累積的影像技術與 AI 技術的融合,打造了功能進化、品質更高的 CT 系統-
SCENARIA View。
REiLI 是富士軟片的醫療 AI 技術品牌,透過結合長年培養的影像處理技術與最先進的 AI 技術,實現協助醫師診斷與簡化影像診斷工作流程的目標,為醫療品質提升作出貢獻。

工作流程支援功能運用深度學習等 AI 技術,協助解決醫療實務中的各種問題,並提升醫療照護的效率和品質。

檢驗順序

檢查室入口
利用深度學習*2開發的技術,可自動辨識檢查床上病患的位置與特徵。
只需一鍵操作,即可自動將病患定位至掃描圖的位置。

定位掃描影像
透過掃描定位圖影像,即可自動設定掃描範圍,有助於提升掃描位置的再現性與檢查效率,進而縮短整體檢查時間。
掃描範圍的邊界可依各醫療機構的作業習慣預先設定,實現符合需求的自訂化操作。操作者亦可隨時檢視與調整自動計算出的掃描範圍。*4

OM Line

SM Line

RB Line

Chest
紅色:自動設定位置
藍色:自動設定位置 + 設定邊界
CT 影像的同步儲存(右側)
透過平行處理技術,重建後的影像不僅會儲存於主控台,亦同步儲存至 SYNAPSE 3D,無需再從控制台傳送 DICOM 影像,有效簡化操作流程並提升工作效率

Home 鍵:
遠端歸位檢查台

使用 SYNAPSE 3D 進行分析
從安排檢查、掃描執行到影像判讀,富士軟片致力於將 CT 影像檢查中涉及的所有醫療流程緊密串聯,為醫療人員提供更高效率的整體作業解決方案。
- *1 AutoPositioning 為選購功能。
- *2 本功能為運用深度學習 AI 技術所開發。裝置的效能與準確度在使用後不會自動變更。
- *3 本功能可協助移動病床進行初步定位,操作員需要使用投射燈(光定位器)手動進行最終定位。
- *4 自動計算出的掃描範圍仍需由操作員進行檢查與微調。
3D 照相機會偵測病患的特徵點,並預測擷取掃描圖的位置,然後顯示在機械臂的監視器上。照相機還支援側位滑動檢查台功能,只需一鍵即可完成設定。自動定位*5 影像也將資訊顯示於控制台。
- *5 AutoPositioning 為選購功能。
此功能運用 AI 技術中的深度學習所開發。 裝置的性能與準確度在使用後不會自動變更。
本功能可協助移動病床進行初步定位,操作員需要使用投射燈(光定位器)手動進行最終定位。

更輕鬆地定位待檢查區域
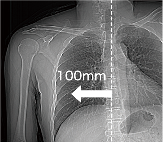
病床橫向最長可移動達 200 mm,即使在心臟或骨科(如肩部)等掃描部位,也能更容易將檢查區域置中,提高檢查效率

將心臟定位在視野中央附近

將四肢定位在視野中央附近

除了 800 毫米的寬敞孔徑外,孔徑的平滑形狀也改善了病患無礙使用性。

Intelli IPV 是一種利用 AI 技術開發的影像重建技術。透過使用大量經過充分疊代處理的影像作為訓練資料,實現高速且高精度的影像處理,根據富士軟片的視覺模型,使用原始資料的重建處理讓 NPS(雜訊功率頻譜)更接近 FBP(濾波反向投影),即使在高雜訊降低率下也能保持影像紋理, 可實現最高 90% 的影像雜訊*7,以及最高 83%*8的的輻射劑量減少。在低對比檢出能力方面更達到傳統影像處理的 2 倍效果。*8

同時減少輻射暴露和提高可見性

改善低對比解析度
根據統計、物件和實體模型,透過疊代處理來控制影像雜訊和影像品質的技術。

透過統計考量來自 X 光偵測的雜訊和電路系統中的雜訊來降低雜訊。
模型可根據形態資訊進行變化,並在重建過程中考量結構的形狀、大小與位置來維持結構。
以 FBP 為模型,從高頻至低頻以等比例調整影像紋理,在降低雜訊的同時,重建出貼近 FBP 的影像質感。
透過從高頻至低頻的均衡紋理調整,使影像的雜訊頻率特性盡可能貼近 FBP方式,進而提升影像的可視性。

- *6 Intelli IPV 運用 AI 技術中的機器學習所開發。系統效能與準確性不會隨使用次數自動變化。
- *7 相較於 FBP 其使用 Intelli IPV 強度等級 Strong5 進行測量,並對水假體進行測試。根據臨床任務、病患體型、解剖部位及檢查內容,實際成效可能有所差異。
- *8 相較於 FBP,其使用 Intelli IPV 強度等級 Strong5 以 0.625 毫米的切片厚度進行測量,並使用模型觀測器方法結果,根據 MITA CT IQ 假體 CCT189 假體實驗室進行測試。根據臨床任務、病患體型、解剖位置和臨床檢查,獲得的效果可能較小。
PV 為 Iterative Progressive reconstruction with Visual modeling 的縮寫。








