本頁面所載內容,意在提供醫療保健專業人員及同等人員使用。

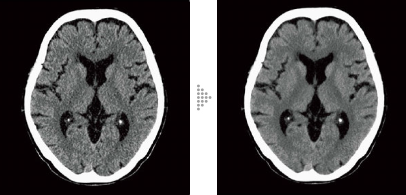
FBP(左側)
Intelli IPV(右側)

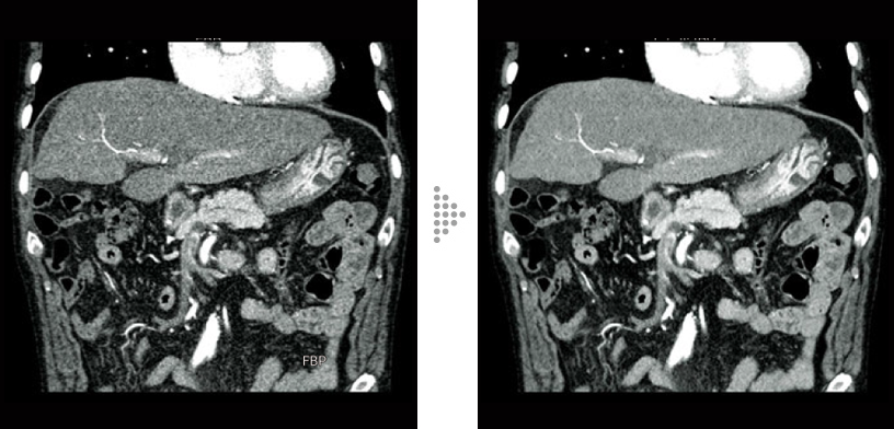
FBP(左側)
Intelli IPV(右側)

FBP(左側)
Intelli IPV(右側)

FBP(左側)
Intelli IPV(右側)

腦部腫瘤

總頸動脈狹窄

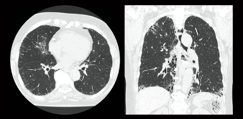
間質性肺炎

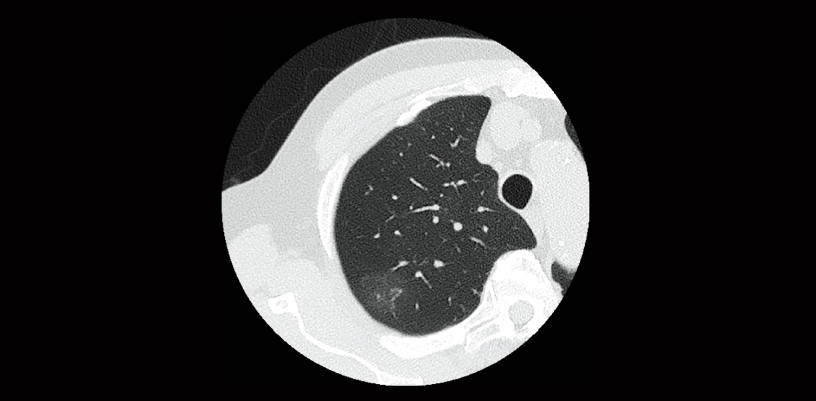
肺部篩檢(體積電腦斷層劑量指標 [CTDI vol]:2.0 mGy)

冠狀動脈鈣化

非結核分枝桿菌

冠狀動脈繞道術 (CABG) 後追蹤

左前降支 (LAD) 支架置入後追蹤

高速成像(180 毫米/秒)

腎細胞癌(80 kV)

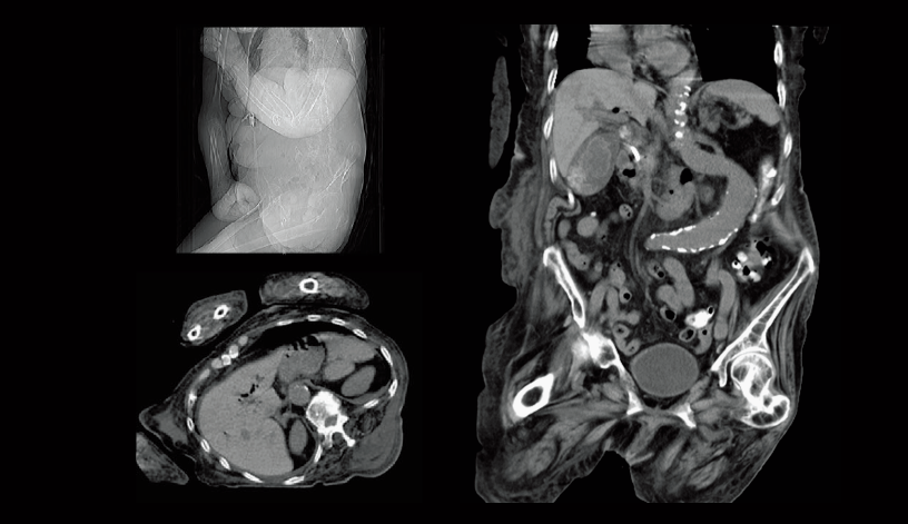
腹部主動脈阻塞

術中血氧飽和度下降(左側)
左髂總動脈阻塞(右側)

肱骨大節結性骨折

脛骨高台骨折

髖關節(HiMAR Plus)
- * 除軸向影像外,其他影像均由 3D 影像分析系統 SYNAPSE 3D 處理。








