The content on this page is intended to healthcare professionals and equivalents.

3D TOF MRA MIP 4:23

3D ASL pCASL 2:06

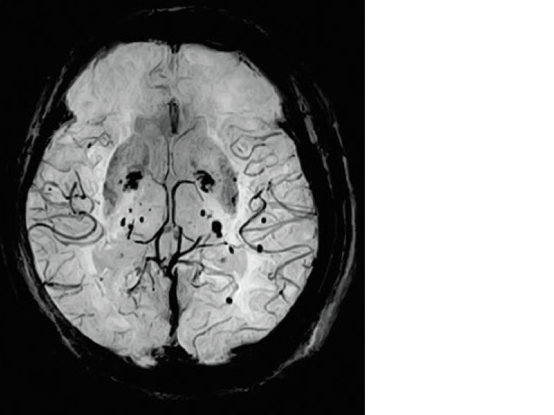
BSI minIP 1:48

DWI b1000 2mm

3DBASG 1:40

3DisoFSE T2WI FatSat with MSDE

3DisoFSE SIRMap

PDWI FatSat 3mm

T2WI 2mm

3D TIGRE Navigator

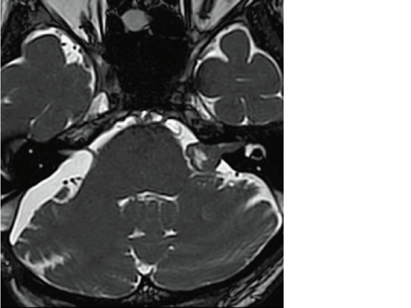
3DT2*WI 1mm

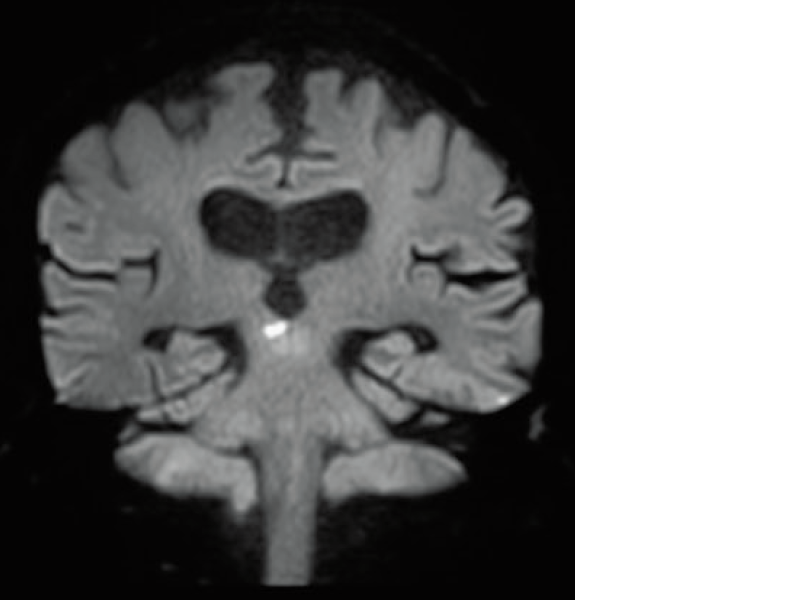
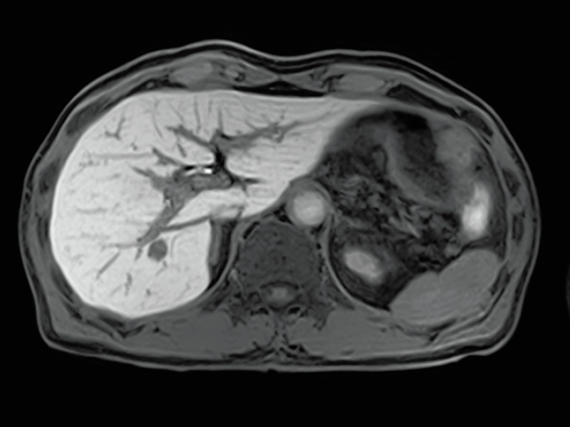
T1WI FatSep

3D Bone Imaging

3D Bone Imaging

3DMRCP MIP

T2WI

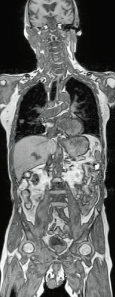
3D TIGRE CE

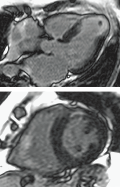
Cardiac Function Analysis

LGE

AX DWI b1000 MIP
1:43 × 3station

COR 3DT1WI GrE
0:20 × 3station

T2WI FatSep
1:53 × 2station

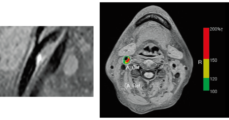
VASC-FSE
3station MRA








