The content on this page is intended to healthcare professionals and equivalents.
DLR offers 2 options

High Resolution

T2WI, 0.56×0.70×3.0mm, 2:28

T2*WI Multi Echo,
0.38×0.38×2.0mm

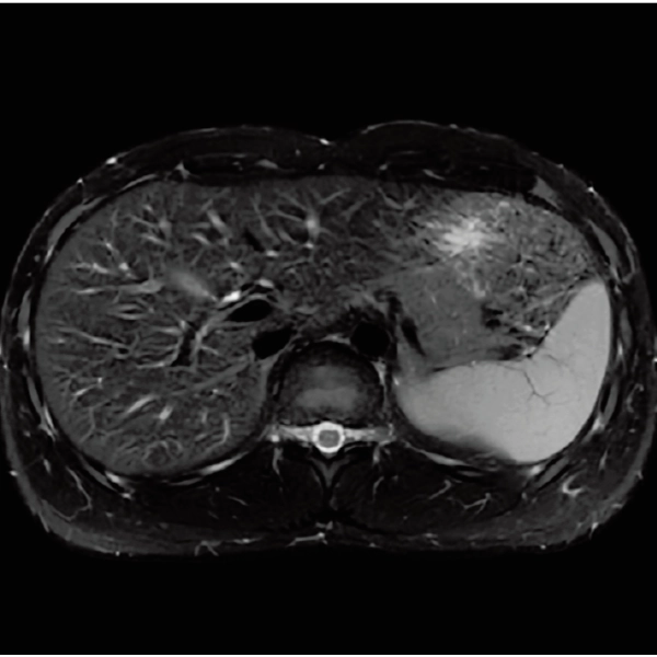
T2*WI Multi Echo,
0.35×0.40×3.0mm, 2:55

3D Bone
0.93×0.93×1.2(0.6)mm

3D Bone
1.1×1.1×1.2(0.6)mm

3DisoFSE T2WI
0.75×0.75×1.1(0.55)mm

MPR COR

3DisoFSE MRCP (MIP)
Respiratory gating, 2:50

ShortScan

FLAIR, 1:14

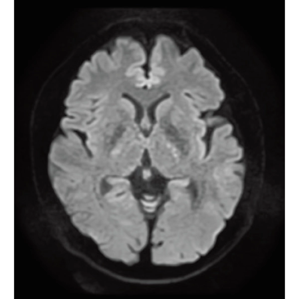
DWI, 0:36

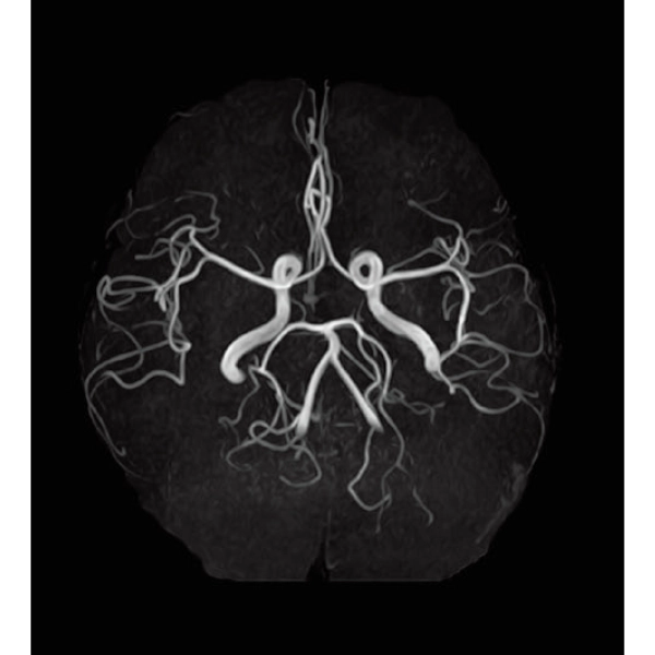
3DTOF MRA (MIP), 1:26

3D Balanced SARGE
with Phase Cycling,
0.93×0.70×1.0(0.5)mm, 1:44
StillShot:The camera detects motion and suppresses the effects of body movement

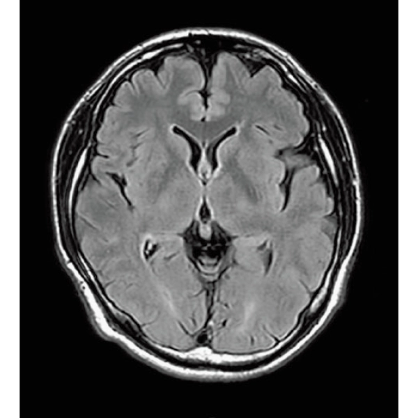
FLAIR

T1WI Dual Echo (Out) Breath hold
RADAR:Body movement suppression technology for those who cannot hold still


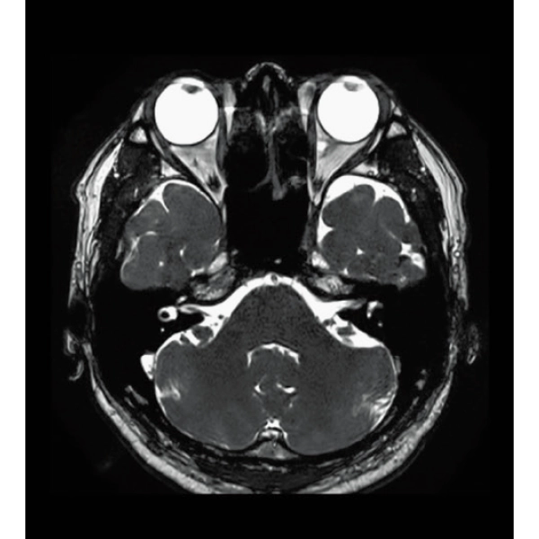
T2*WI RADAR, 2:34

T2WI FatSat Respiratory gating RADAR, 2:16

3DTOF MRA RADAR (MIP)
Wide coils:Keep patient within imaging range


DWI AX (MIP)
3.7×3.1×5.0 mm
3st total scan time 7:25

3D T1WI COR
2.2×1.5×1.5 mm
3st total scan time 0:54

3D MRCPA (MIP)

Lower extremity
non-contrast MRA (MIP)










