Norway
Home Healthcare X-ray Diagnostic System Computed Radiography FCR PRIMA Tm

FCR PRIMA Tm - Overview

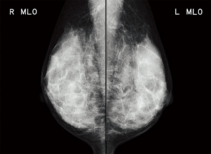
A smallest class all-in-one tabletop CR equipped with mammography image reading as standard.

The content on this page is intended to healthcare professionals and equivalents.

High-speed processing

With the highest processing speed in its class, this model can process 73 images per hour. In addition, 40 mammography images can be processed within an hour, allowing smooth image reading.

System Configuration
  • *1 Workstation : for mammography image

Products Name : PRIMA Tm (Model name : CR-IR 392)