The content on this page is intended to healthcare professionals and equivalents.
MRI examinations require a wide range of operations, MRI Examinations require a wide range of operations from selecting the protocol, coil selections, and positioning. FUJIFILM makes the workflow easier and more flexible. FUJIFILM has created ECHELON Synergy with such a desire in mind.
Equipped with SynergyDrive,*1which utilizes AI technology and has been further improved in terms of both hardware and software, ECHELON Synergy streamlines a series of examination workflows from setting up to scanning, image quality, and post-processing.
It makes MRI examinations smoother with higher image quality.

Designed with a spacious 70 cm diameter wide bore to allow for gentle wrapping, and a smooth surface design with few seams.

The gantry monitors installed on both the right and left sides are flatly integrated with the operation panel, ensuring a simple shape that is easy to keep clean.


- *1 SynergyDrive is a collective term for workflow improvement technologies. It includes functions developed using the AI technologies of machine learning and deep learning. The performance and accuracy of the system does not automatically change after installation.
SynergyDrive reduces examination time translating to improved workflow. In addition, improving the workload on the healthcare professional. We aim to provide gentle examinations help ease anxiety and reduces stress.


One tap on the intuitively operable monitor automatically performs the series of processes from start to finish of an MRI examination*2. Gantry monitors are installed in two locations, left and right, allowing for a smooth approach from either side. Frequently used functions, such as UP, SET, and START, are always displayed in the center and can be selected with one tap.

Quickly attachable coils are available, including the FlexFit Neuro coil, which can be attached with one action, and the FlexFit Wide coil, which can cover large areas, such as the abdomen and femur, all at once.

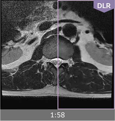
Combining high-speed imaging technology with Deep Learning reconstruction technology*3, Advanced Reconstruction with Deep Learning Synergy DLR, enables shorter exams and reduces image noise.
- *2 Describes automatic execution of the MRI examination process. It does not mean that the diagnosis is executed automatically. It depends on the operator's discretion.
- *3 Utilizes Deep Learning for development. The performance and accuracy of the device does not automatically change after installation.
Once the patient is positioned on the table, tap the “START button” on the gantry monitor. Closing the door of the imaging room automatically starts an examination without positioning with the laser of the gantry. Since there is no need to perform multiple operations for each task, such as positioning the examinee from the operation table, the examination can be performed simply and smoothly *4。
- *4 One-tap operation may not be available depending on the region or operation.
The unique-shaped coils for the head and neck allow the setting to be completed in one action: after the patient lies down, simply grasp the grip on the top of the head coil and lowering toward the head. One action for comfortable positioning resulting in excellent SNR*5.
FlexFit Neuro coil is equipped with OpenHead mode allowing for the patients face to be unobstructed translating to reduces anxiety.
Patient positioning is smoother for rounded backs with the titling mechanism placed under the FlexFit Neuro coil.
A flexible and lightweight coil with a size of 720 × 545 mm covers a wide imaging range. It can be used in either the vertical or horizontal orientation for various types of imaging. It can also be used by connecting two coils together, so that a wide range of areas can be imaged in a single setting.
This general-purpose coil is shaped to be easily attached to various anatomies. It can be wrapped around the shoulder or knee for imaging or combined with the FlexFit Neuro coil for imaging a wide range of areas at a time.
- *5 Comparison with our products
Images can be obtained at high speed by combining two proprietary technologies: IP-RAPID, which reduces imaging time while maintaining image quality, and Synergy DLR, which uses deep learning technology*6 to improve image quality
Under-sampling reduces imaging time, and iterative reconstruction with IP-RAPID reduces noise and artifacts.
In addition, Synergy DLR, an image reconstruction technology utilizing deep learning technology, further eliminates noise and produces images that are easier to use in making a diagnosis.






- *6 Utilizes deep learning for development. The performance and accuracy of the device does not automatically change after installation.
- *7 Undersampling k-space
- *8 Interpolated k-space with iterative process
- *9 Deep Convolutional Neural Network










