The content on this page is intended to healthcare professionals and equivalents.

CAD EYE is FUJIFILM's brand name of computer-aided diagnosis (CAD) function for endoscopy. CAD EYE has been developed utilizing AI deep learning technology with an immense amount of clinical images.

Detection

Detection

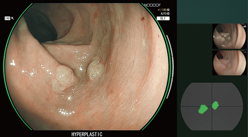
Characterization
FUJIFILM is working to develop a unique collection of image processing technologies and continues to develop the practical application of AI technology, and will continue to develop and supply a wide range of products and services that meet the needs of frontline medicine in various fields, contributing to streamlining clinical work, enhancing the quality of medical care and maintaining and strengthening people's health.



SXGA

FullHD

FullHD
Still image or movie files with CAD EYE results can be stored to the internal memory of EX-1 or external USB memory. Network function is also available.
- Input
DVI-I x1
- Output
DVI-I x1
DVI-D x1- Control port
RS-232C x2
LAN x2
USB (front)*1 x1
USB (back)*2 x4- Power connector
AC100-240V~ 50/60Hz 1.25-0.60A
- Dimensions
370(W)×99(H)×465.6(D)mm (including protrusions)
- Weight
7.1Kg
- Package contents
Instructions for use
RS-232C cable (male-to-female, cross cable) x1
DVI-D cable x1
- Product name
EW10-EC02
- GMDN
64419
- Generic name
Endoscopic video image interpretive software
- Compatible system
VP-7000/BL-7000, EP-6000
- Compatible endoscope
700 series endoscope (for colon)*3
- Product name
EW10-EG01
- GMDN
64419
- Generic name
Endoscopic video image interpretive software
- Compatible system
VP-7000/BL-7000, EP-6000
- Compatible endoscope
700 series endoscope (for upper GI)*3 *4
- *1 USB Specification Rev. 2.0
- *2 USB Specification 3.1 Gen 1
- *3 600/500 series endoscope can be connected, but the CAD function is not available
- *4 When EG-740UT is connected, the CAD function is not available.










