The content on this page is intended to healthcare professionals and equivalents.
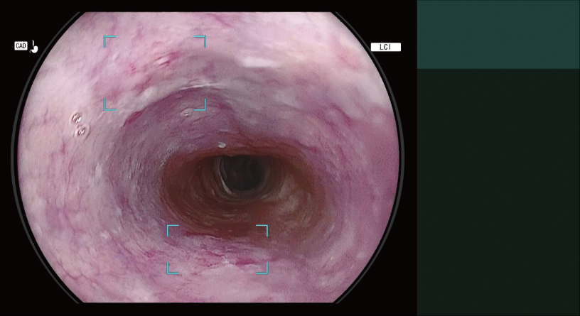
Detects the area that may be oesophageal squamous cell carcinoma and displays it on the main monitor in real-time.



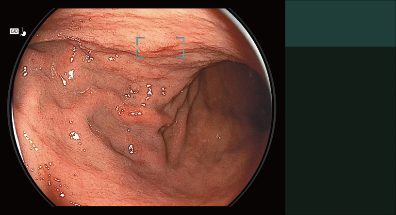
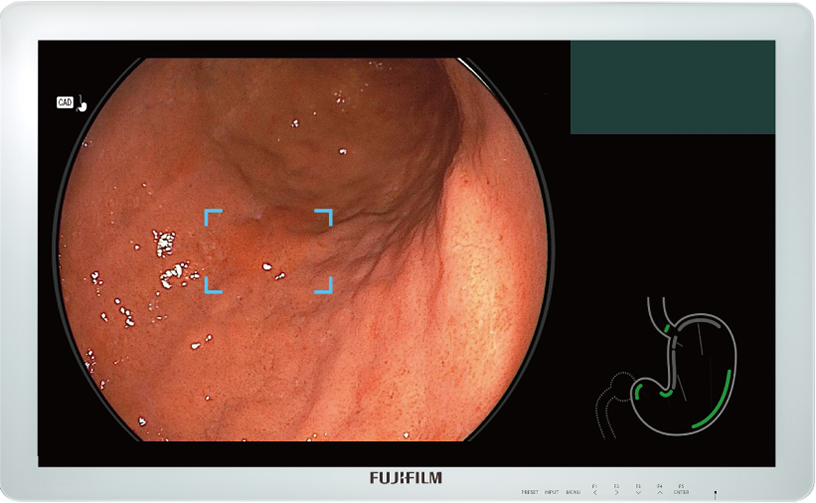
Detects the area that may be gastric neoplastic lesion and displays it on the main monitor in real-time.





Visual Assist Circle
Illuminates the border of the endoscopic image in the quadrant where a lesion is suspe cted to be present.
Notification Sound
Sounds when an area suspected to be a le sion is detected.
Detection Box
Indicates the area where this software suspects that a lesion is present.
When a still image is captured, Landmark Photo Checker is activated to check if the major landmarks in the stomach are properly captured.


- Oesophagogastric junction
- Cardia (near field view)
- Cardia and fundus
- Body, lesser curvature (retroflex view)
- Pylorus (near field view)
- Body, greater curvature (forward view)
- Angulus

Before examination (Left) Complete state (Right)
CAD EYE can be activated and deactivated simply by a push on the endoscope button or directly at the processor.
The types of Detection Mode are automatically switched depending on the observation mode selected.
- *1 Detection Mode for Gastric Neoplastic Lesion Suspect Area
- *2 Detection Mode for Oesophageal Squamous Cell Carcinoma Suspect Area

Graphical user interface of CAD EYE is integrated and displayed together with an endoscopic image on a single monitor. It does not interfere with clinical images and minimizes required eye movement.

High speed processing technology enables the analysis of the endoscopic video and the display of the detection result in real-time without freezing.











