The content on this page is intended to healthcare professionals and equivalents.
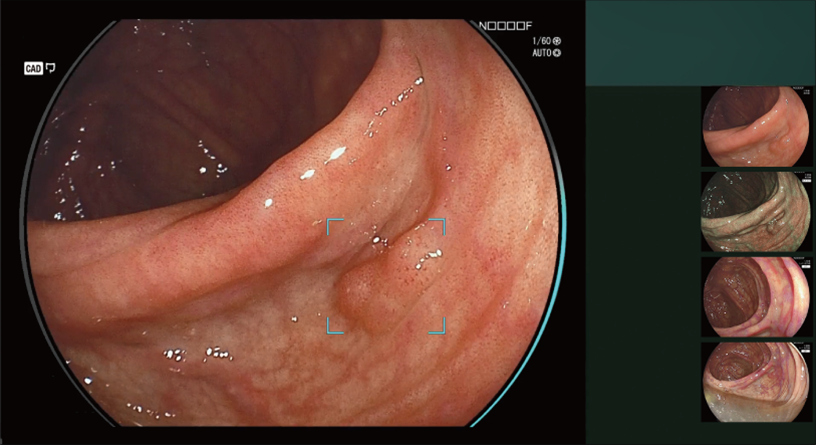
Detects the area that may be a colonic polyp and displays it on the main monitor in real-time.




Indicates the area where this software suspects that a colonic polyp is present.
The thickness of the Detection Box is selectable according to the preference of the users
Sounds when an area suspected to be a colonic polyp is detected.
Illuminates the border of the endoscopic image in the quadrant where a colonic polyp is suspected to be present.
Analyzes if a polyp is hyperplastic or neoplastic in real-time and without freezing or zooming. The characterization result is visually indicated by the use of different color codes in the Position Map.


Indicates the position of the area where this software is characterizing.
NEOPLASTIC (Right)
Displays either yellow or green color according to the characterization results.
Indicates the status of characterization analysis regarding the suspicious area
Two types of characterization result, mixed in a single area
Two types of characterization result, not mixed and separately located in multiple areas.
A single type of the characterization result in one or multiple areas
CAD EYE can be activated and deactivated simply by a push on the endoscope button or directly at the processor.
When CAD EYE is on, Detection Mode and Characterization Mode are automatically activated depending on the observation mode selected.

High speed processing technology enables the analysis of the endoscopic video and the display of the detection and characterization result in real-time without freezing.












