Le contenu de ce site est réservé aux professionnels de santé et assimilés.
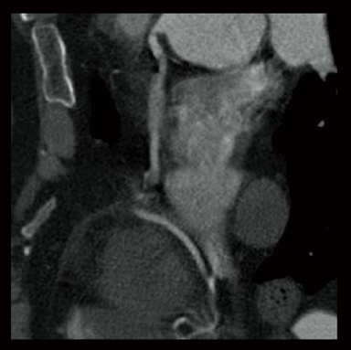
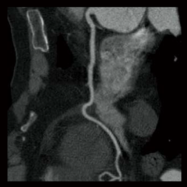
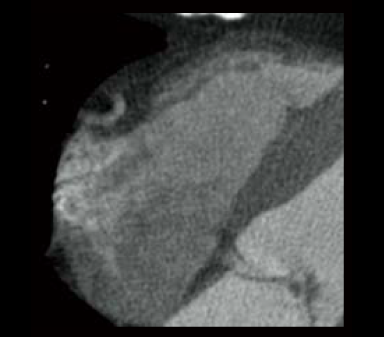
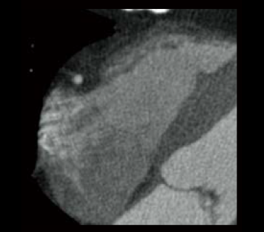
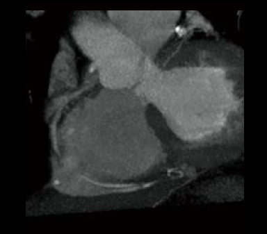
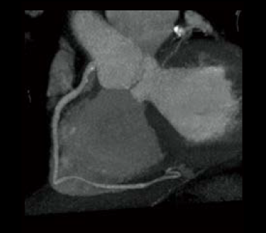
Dans les examens TDM cardiaques, les différents facteurs tels que la fréquence cardiaque et les mouvements du cœur affectent la qualité de l’image. Avec les méthodes conventionnelles de reconstruction d’image, des artères coronaires non focalisées et des artefacts causés par le mouvement peuvent apparaître, ce qui se traduit par des images ne répondant pas à la qualité attendue, ce qui peut affecter le diagnostic. Pour résoudre ces problèmes, Fujifilm a développé Cardio StillShot, qui calcule la direction et la quantité de mouvement du sujet en quatre dimensions à partir des données brutes collectées pendant les examens TDM cardiaques, et les corrige pendant la reconstruction de l’image pour obtenir une résolution temporelle effective de 28 msec.*1 La résolution temporelle effective contribue à améliorer la capacité de diagnostic en fournissant des images cliniques focalisées de haute définition avec moins d’artefacts de mouvement, même chez les patients ayant une fréquence cardiaque élevée.

- *1 Avec 0,35 sec/rotation et un pas de faisceau de 0,1719

Cardio StillShot : OFF

Cardio StillShot : ON

Cardio StillShot : OFF

ON

Cardio StillShot : OFF

ON

Cardio StillShot : OFF

ON

Cardio StillShot : OFF

ON










