The content on this page is intended to healthcare professionals and equivalents.

3D-VASC-ASL (Non-Subtraction technique)




MRCP Respiratory-gated MIP image

Respiratory-gated T2WI

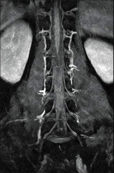
3D-Urography Respiratory-gated MIP image

T2WI

Subtraction image

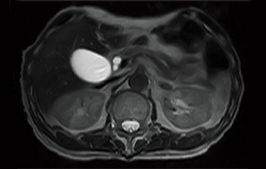
T2WI

T2WI

BASG MPR

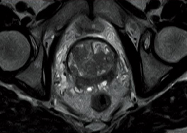
T2WI

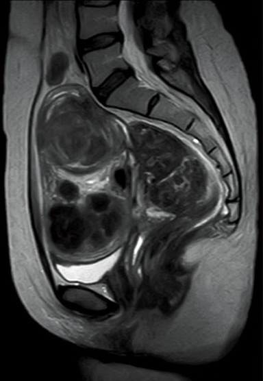
T2WI

T2*WI

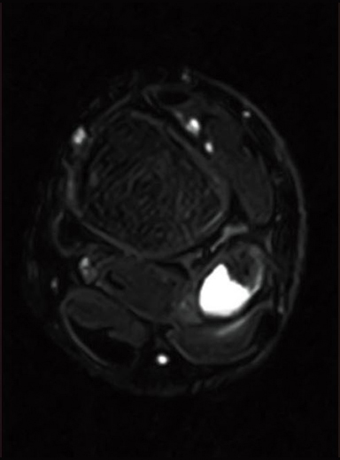
FatSep-PDWI

FatSep-PDWI

T1WI

T2*WI

T2*WI RadialStack





FatSep-T2*WI MIP image

T2*WI

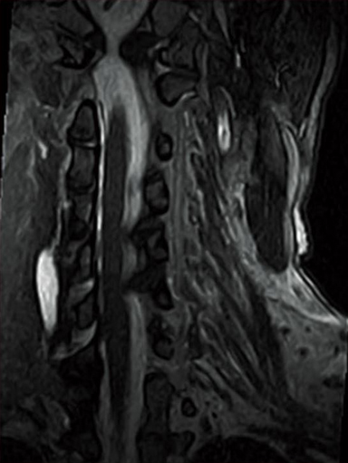
T2WI

T2*WI

FatSep-T2WI

T2*WI










