The content on this page is intended to healthcare professionals and equivalents.
Enhanced operability supports efficient and reliable diagnosis, together with ease of operation and image sharing capabilities.
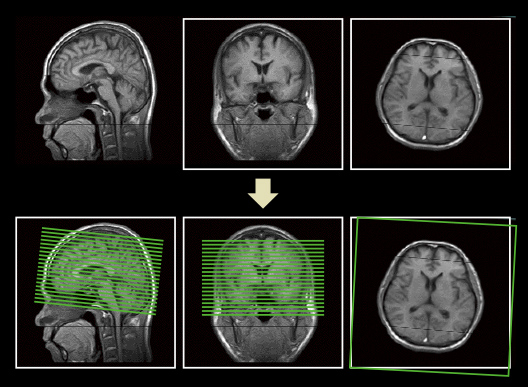
Supports correct image cross-section settings and reduces strain on the operator
AutoPose is a function that supports slice line parameters.
This function allows faster set-up of the OM or AC-PC lines used in head examinations and reduces strain on the operator.
Prior settings such as teach/register and 3D data acquisition are not required.


A user interface that is easy to understand and operate
A soft celadon-based colour set, has been adopted for the GUI (Graphical User Interface).
MRI imaging parameters that can be complex are more easily displayed on the Windows-based wide screen.


Supports efficient registration and alteration of protocols
Routine protocols can be easily registered and changed by the operator, even during the examination the settings according to the patient and clinical requirements.

Reconstruction capability of various cross-sectional images from the 3D images
Arbitrary curved cross-sections can be reconstructed using data acquired through imaging.
In addition, multiple curved-sections can be reconstructed simultaneously.

Supports alteration of imaging parameters
This function provides guidance for parameter settings.
During protocol change, several options are displayed to allow the operator to select the parameter most appropriate for that particular scenario.

Offers simultaneous image reconstruction of multiple cross-sections
Radial MPR images are created which can be useful when diagnosing complex structural tissue such as within the knee joint.

Offers various interfaces
The DICOM interface is included as standard in the Aperto Lucent Plus which adapts to the hospital’s current networks and which will continue to evolve and upgrade over time.
DICOM MWM*1, SWF*1, and PIR*1 functions are also supported.

Extensive coordination for compatibility with the hospital’s inhouse and external network systems
Support for the IHE PDI*1 standard is provided to enable various data exchanges, such as image zoom and rotation display, with other systems supporting the PDI standard. Ability to write DICOM data and simple browser software*3 to a CD-R are also included.

- *1 Optional.
- *2 This system automates, not diagnos. Images need to be checked by the operator.
- *3 Cannot be used for diagnostic purposes










